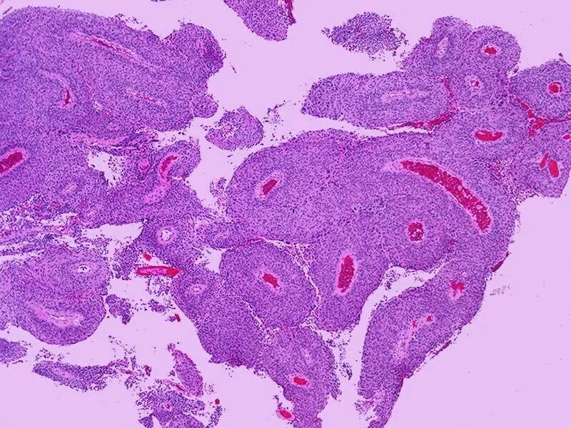
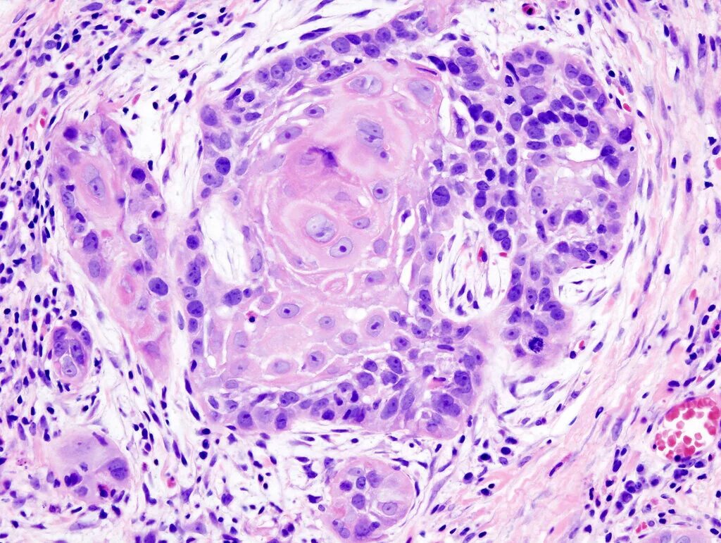
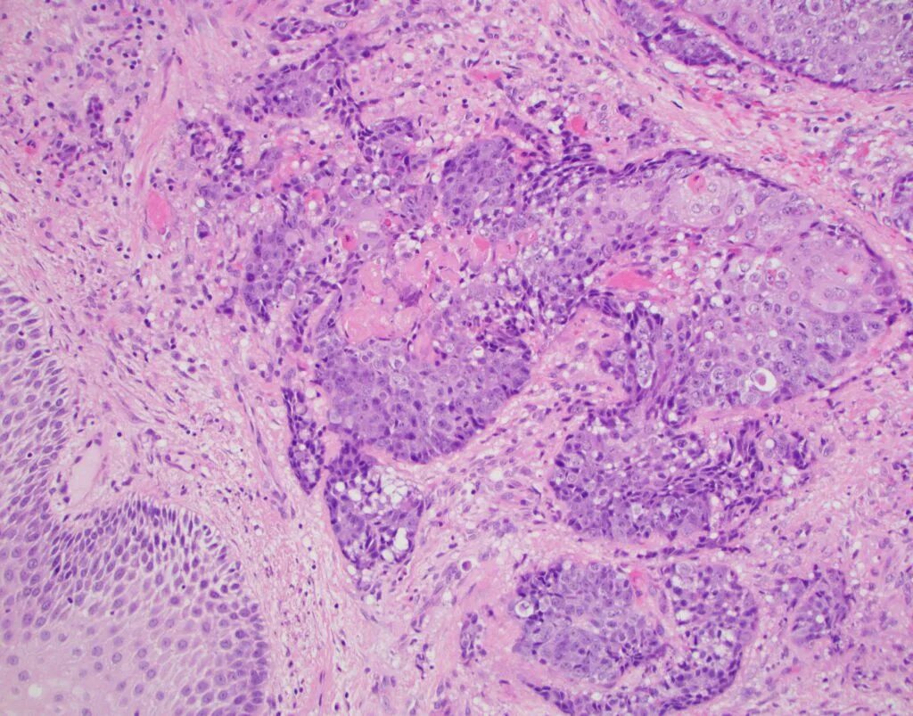
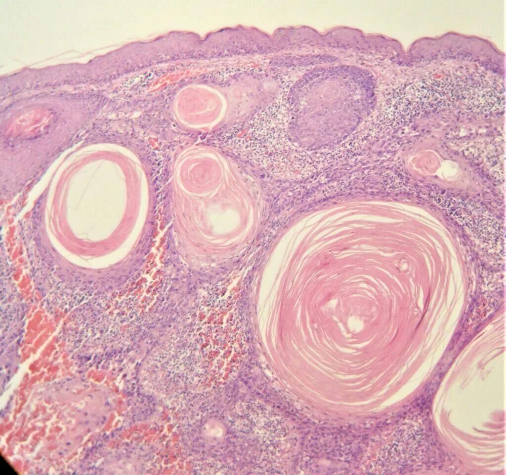
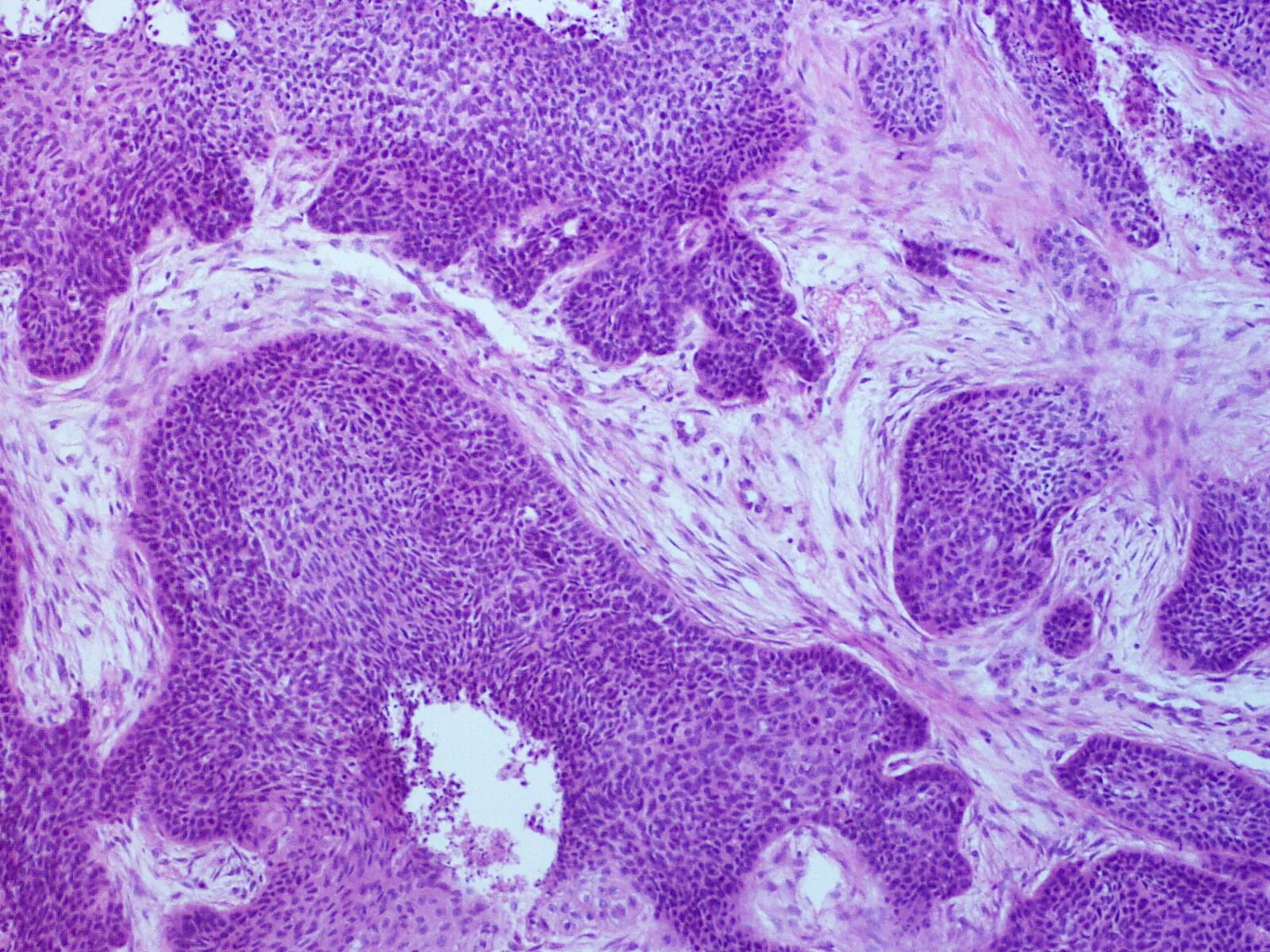
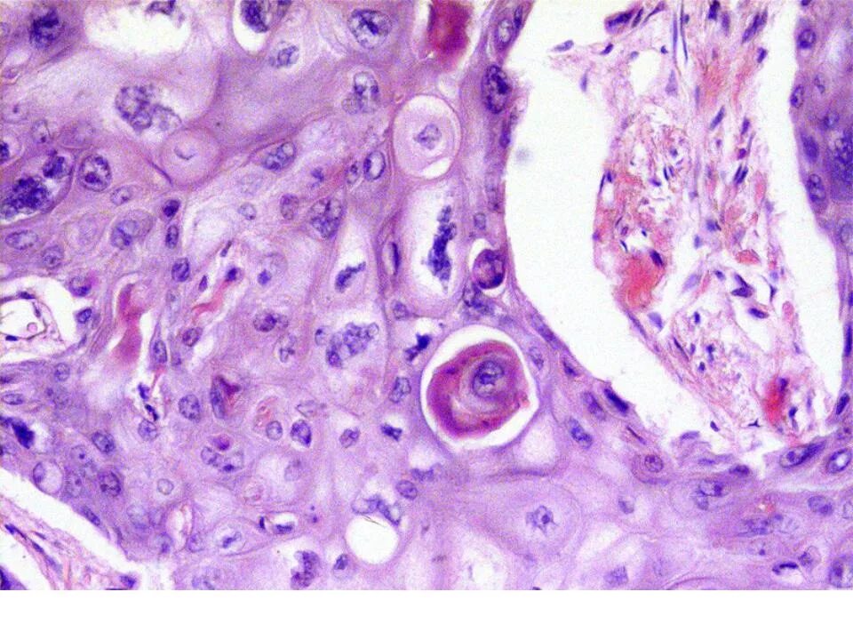
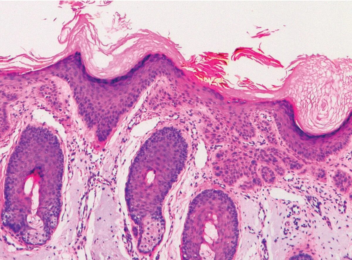
Плоскоклеточная опухоль