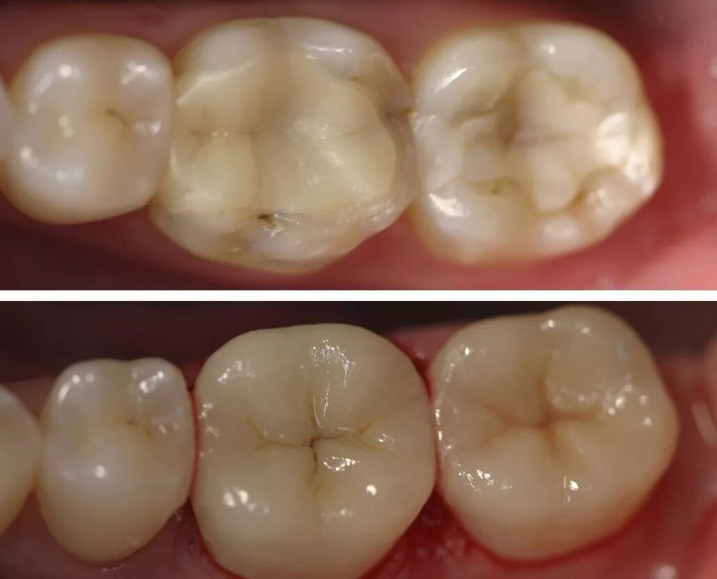
Жевательные зубы какие ставят