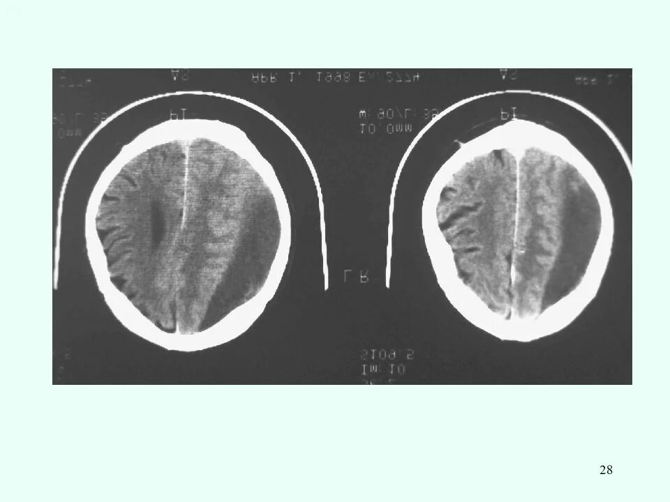
Закрытый черепно мозговой перелом