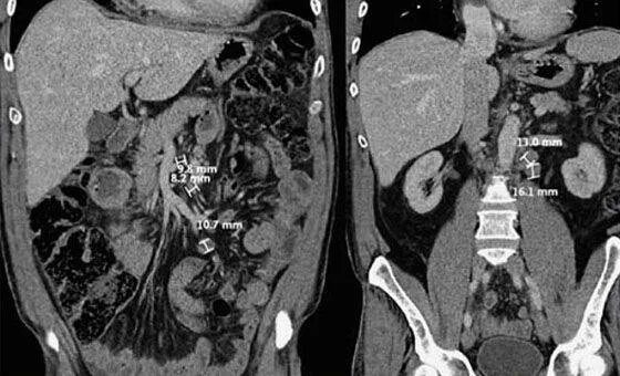
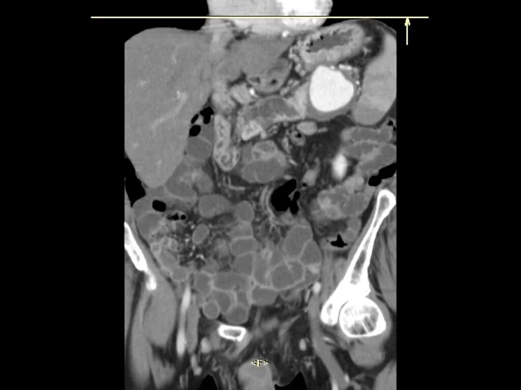
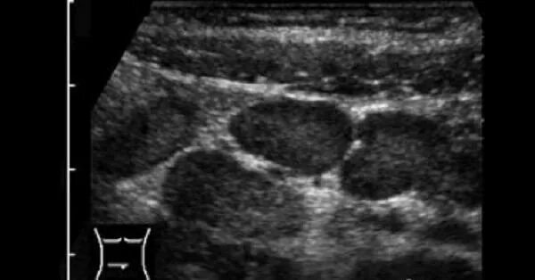
Воспаление брюшных лимфоузлов причины