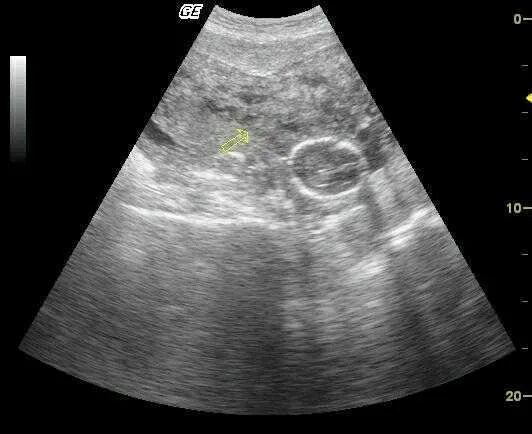
Утолщение стенки миометрия