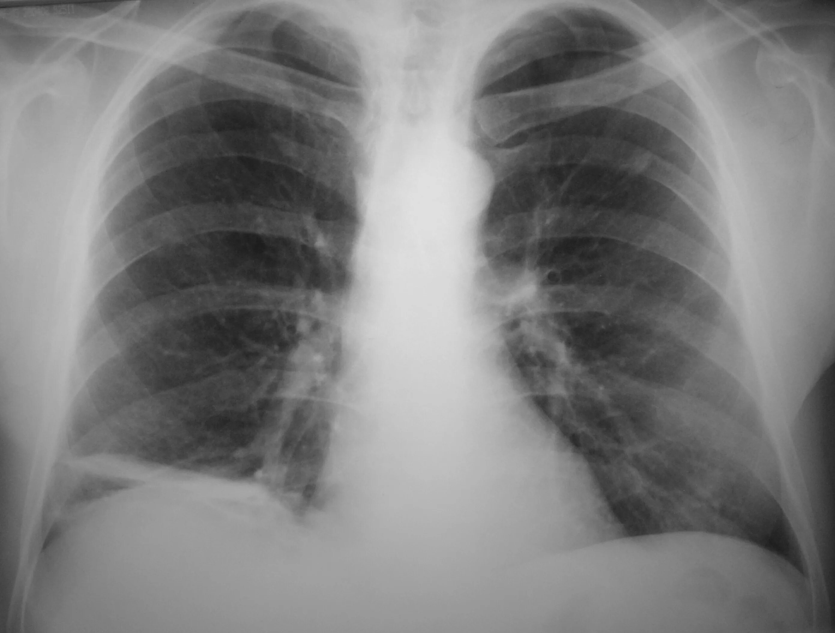
Умеренный пневмосклероз