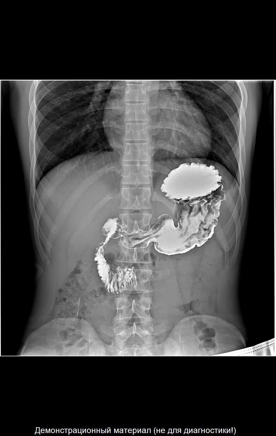
Умеренная деформация луковицы