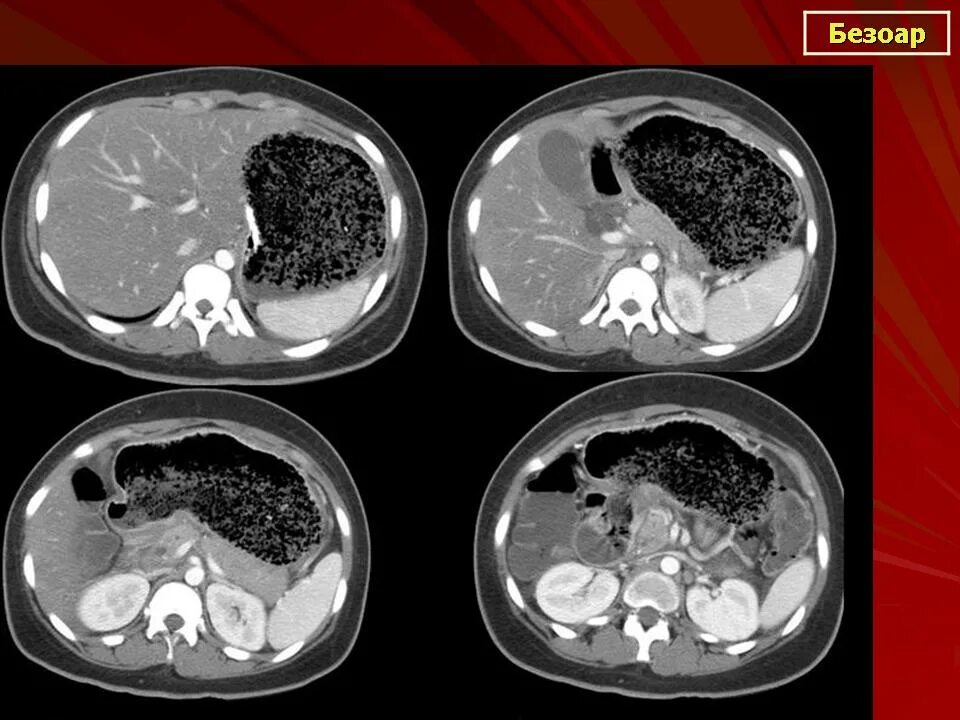
Уменьшение после кт