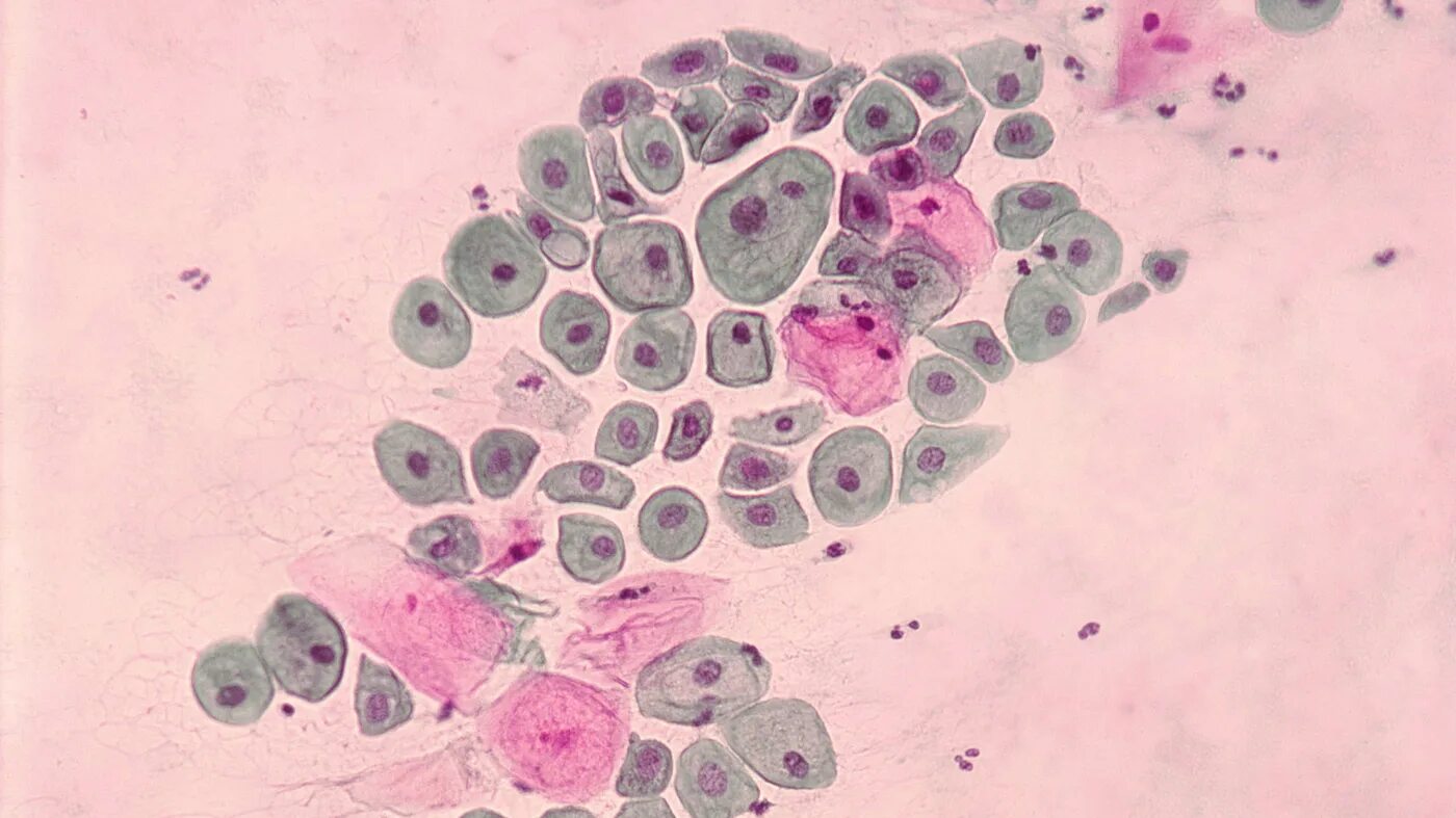
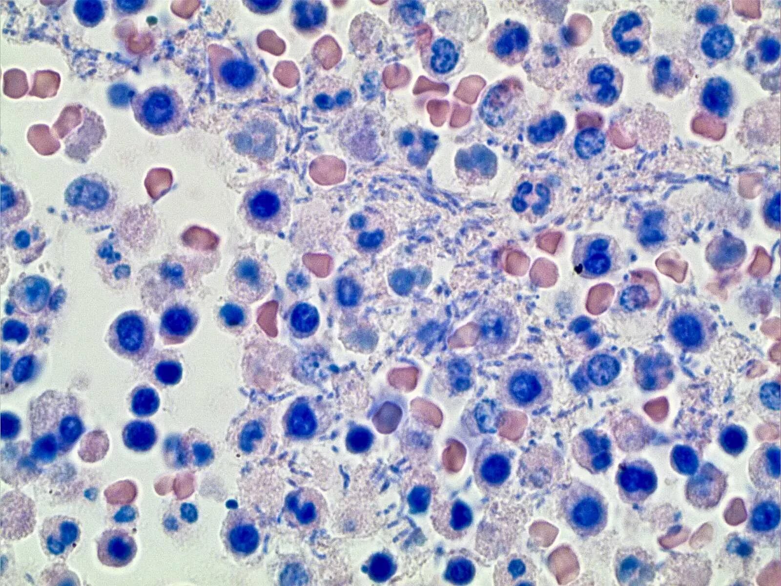
Цитологическое воспаление nilm