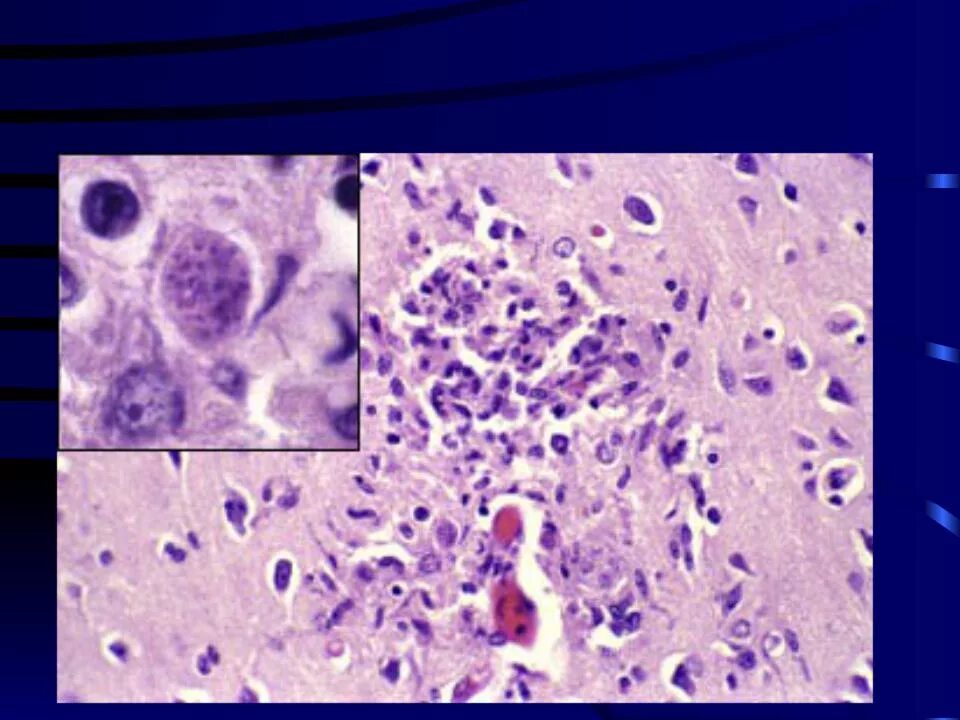
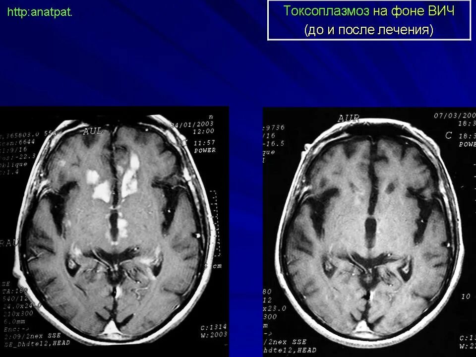
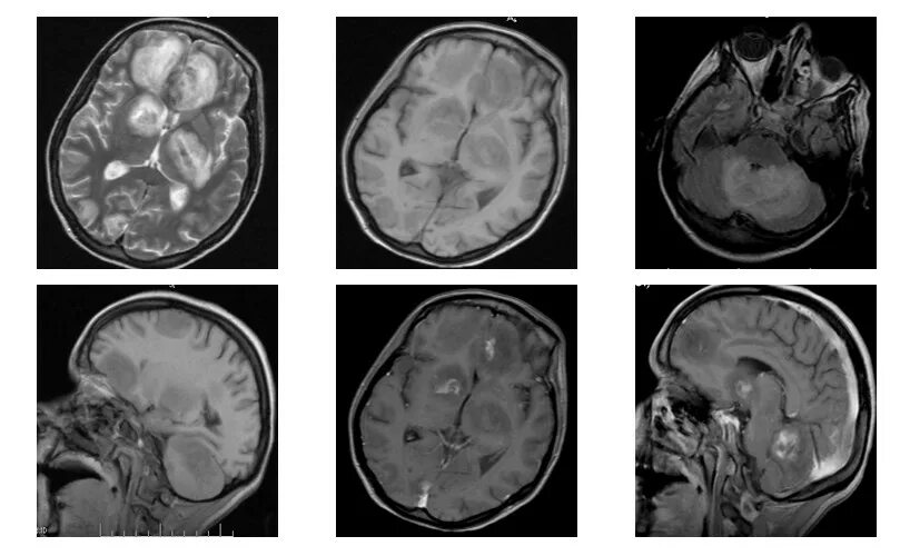
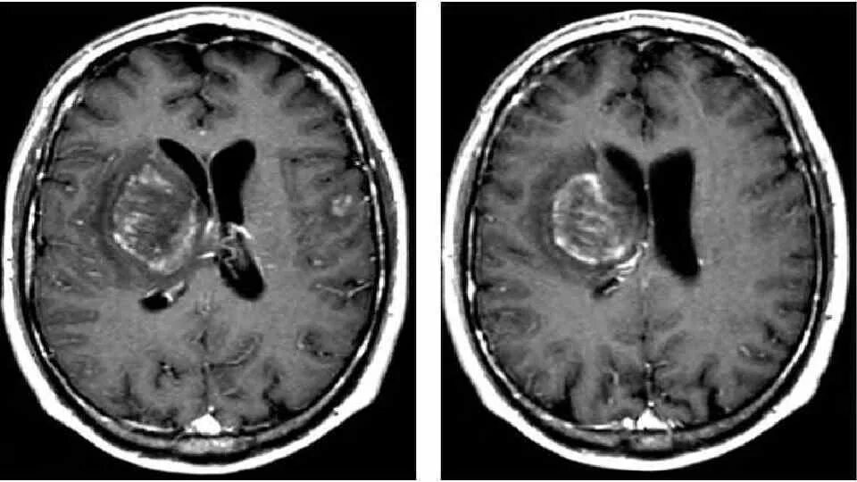
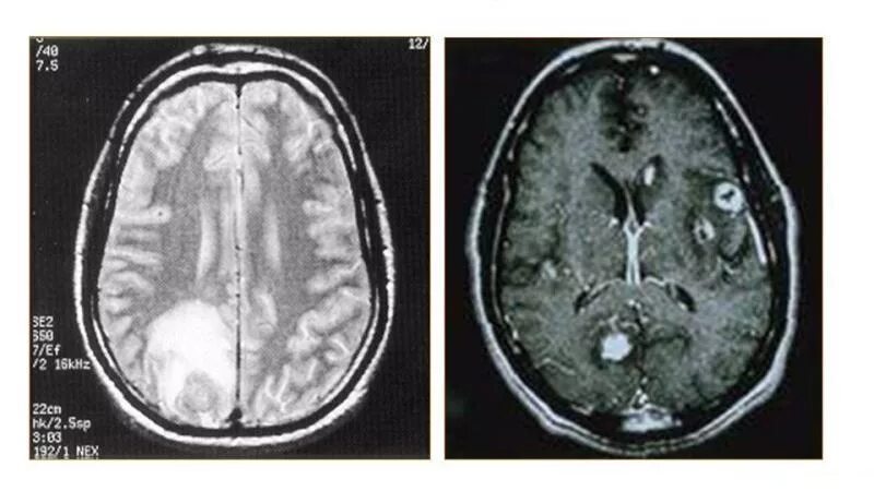
Токсоплазмоз у вич инфицированных