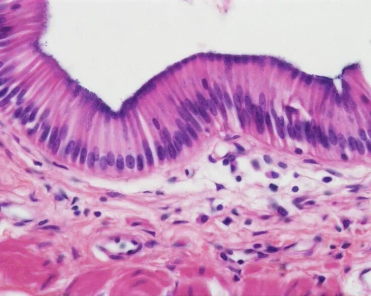
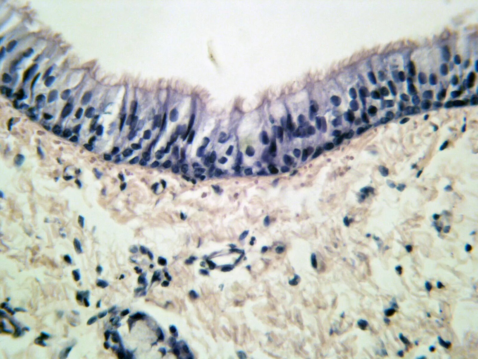
Ткань бывает реснитчатой