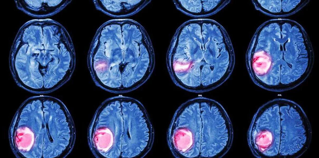
Терапия при опухоли мозга