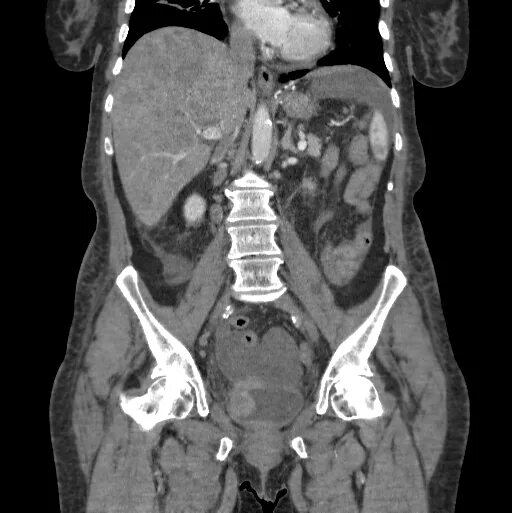
Таза абдоминально