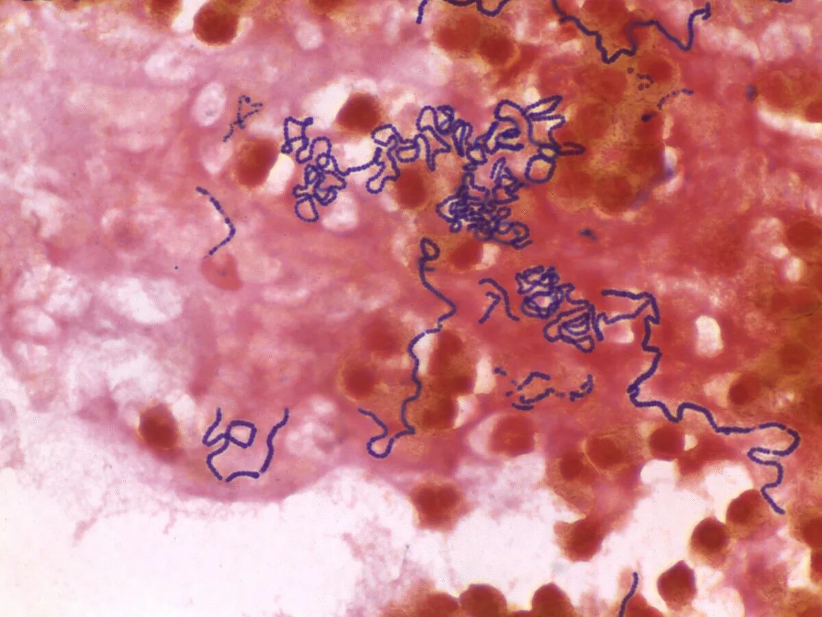
Streptococcus viridans у ребенка