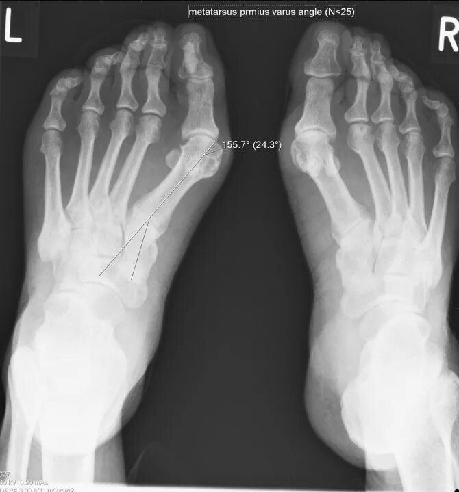
Степени вальгусной деформации