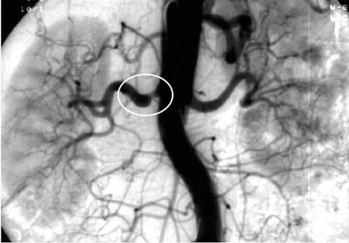
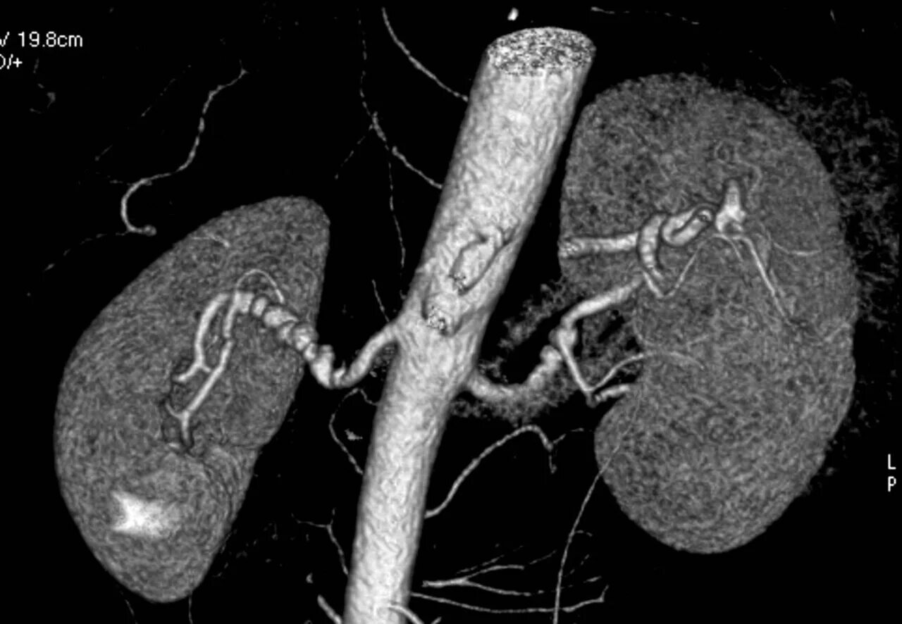
Стеноз артерии почки