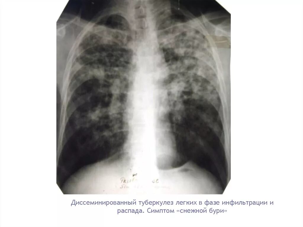
Стадия инфильтрации легких