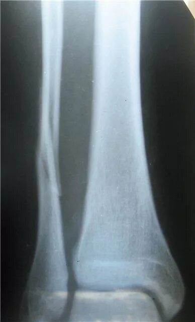
Сколько срастается малая берцовая кость