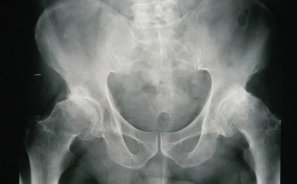
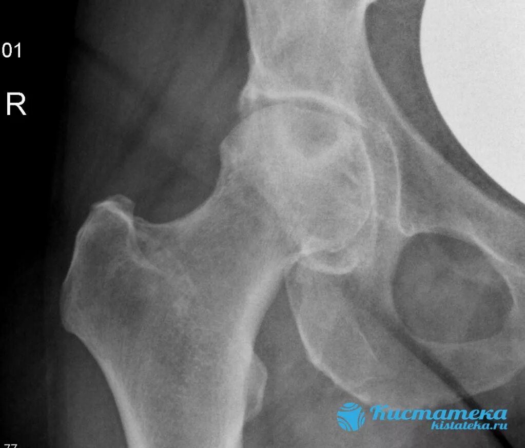
Склероз вертлужной впадины