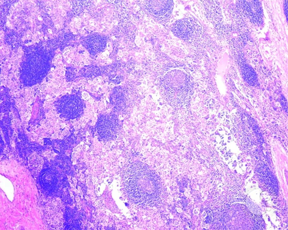
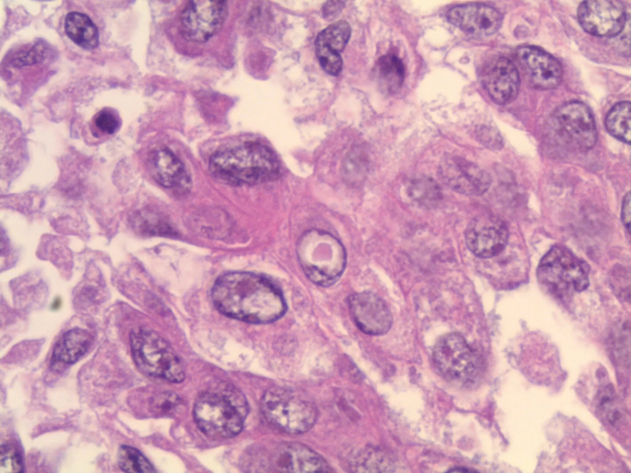
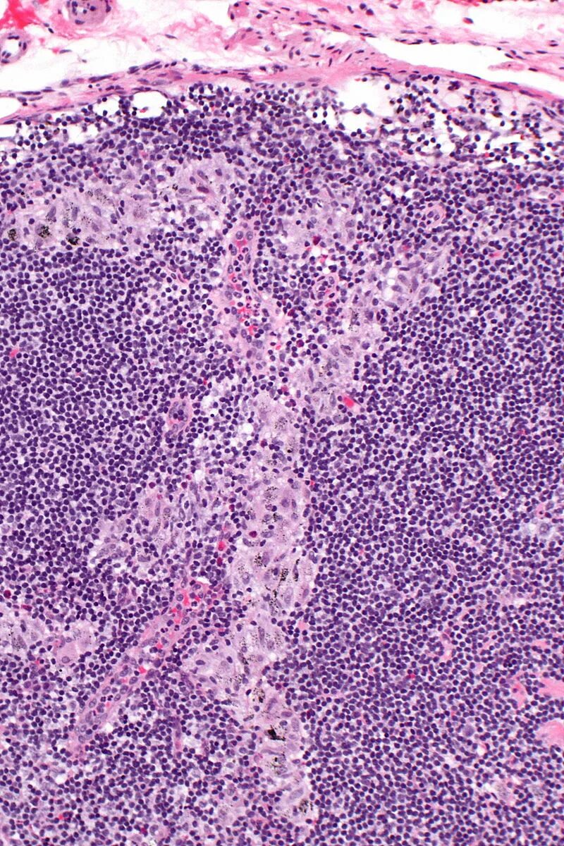
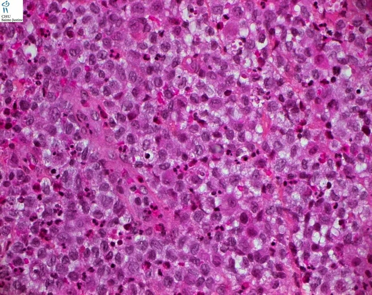
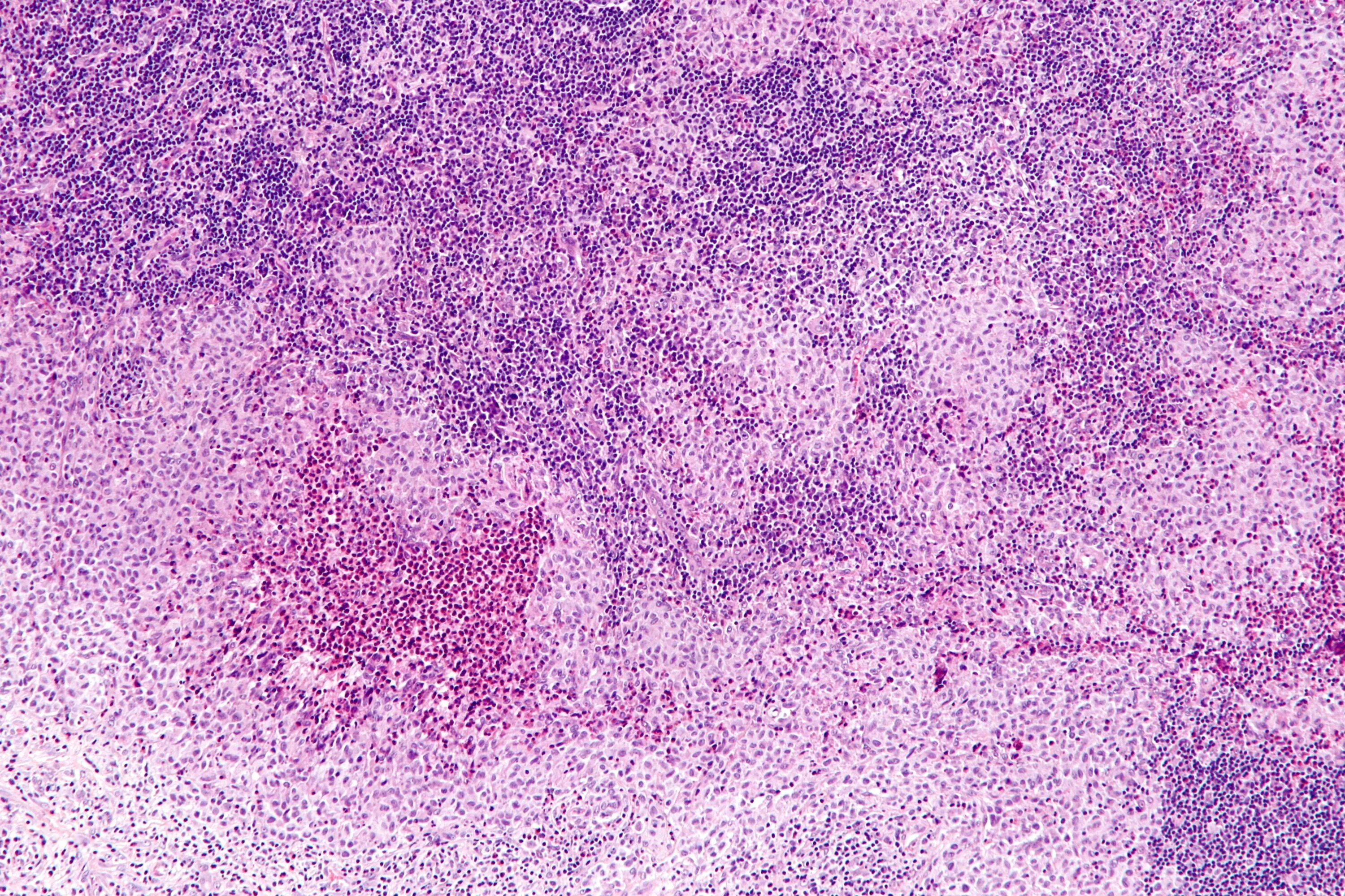
Синусовый гистиоцитоз лимфатического узла