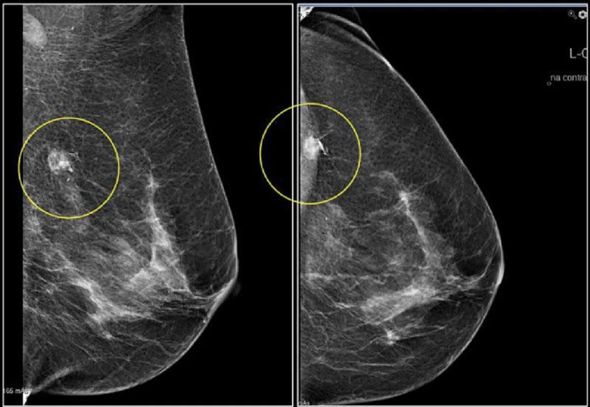
Сгруппированные микрокальцинаты