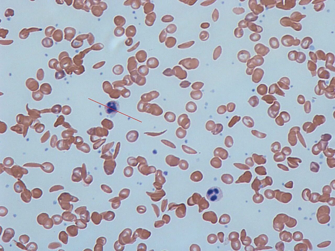
Серповидные эритроциты