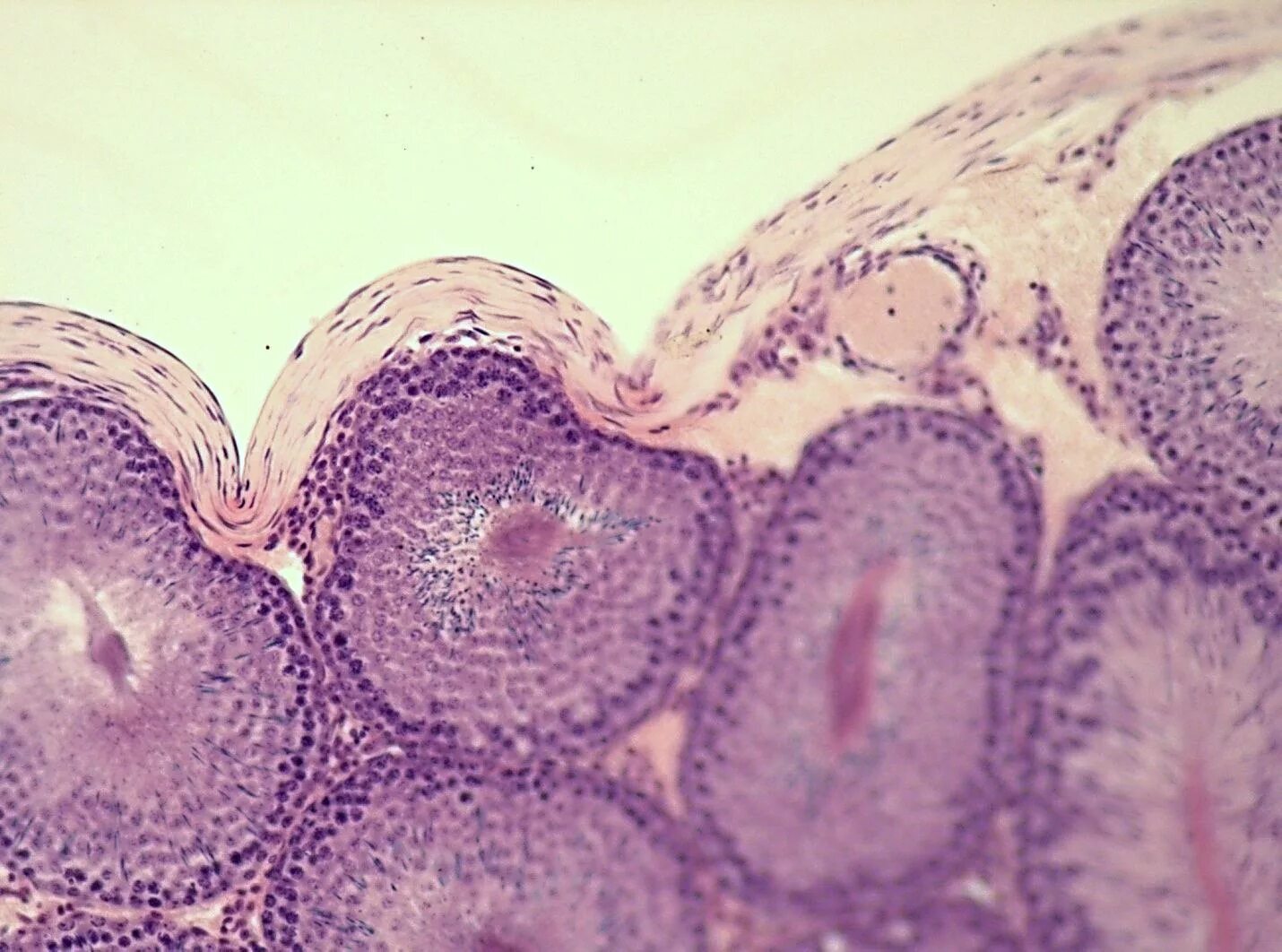
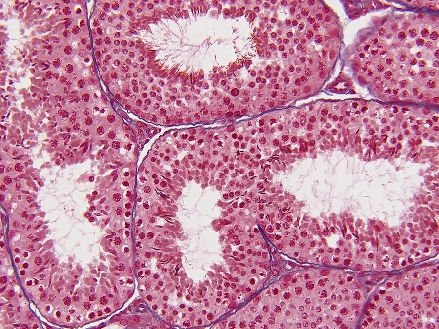
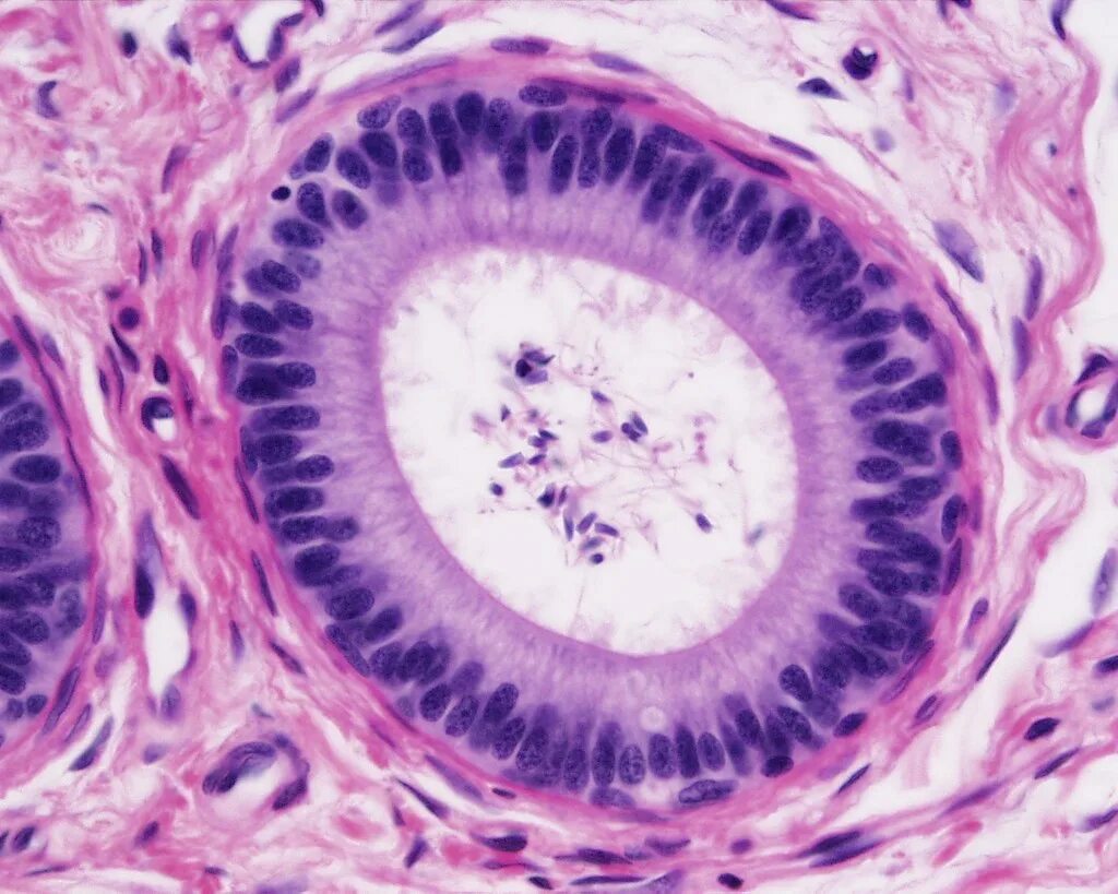
Семенник гистология