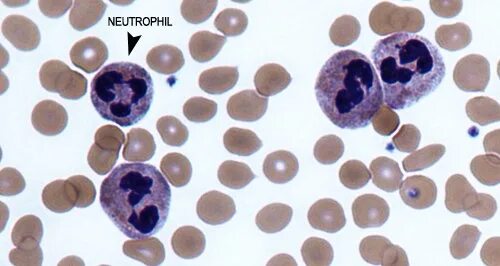
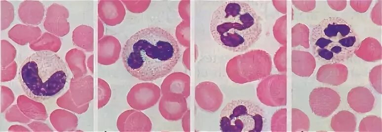
Сегментоядерные у собак