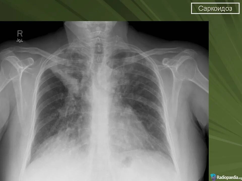
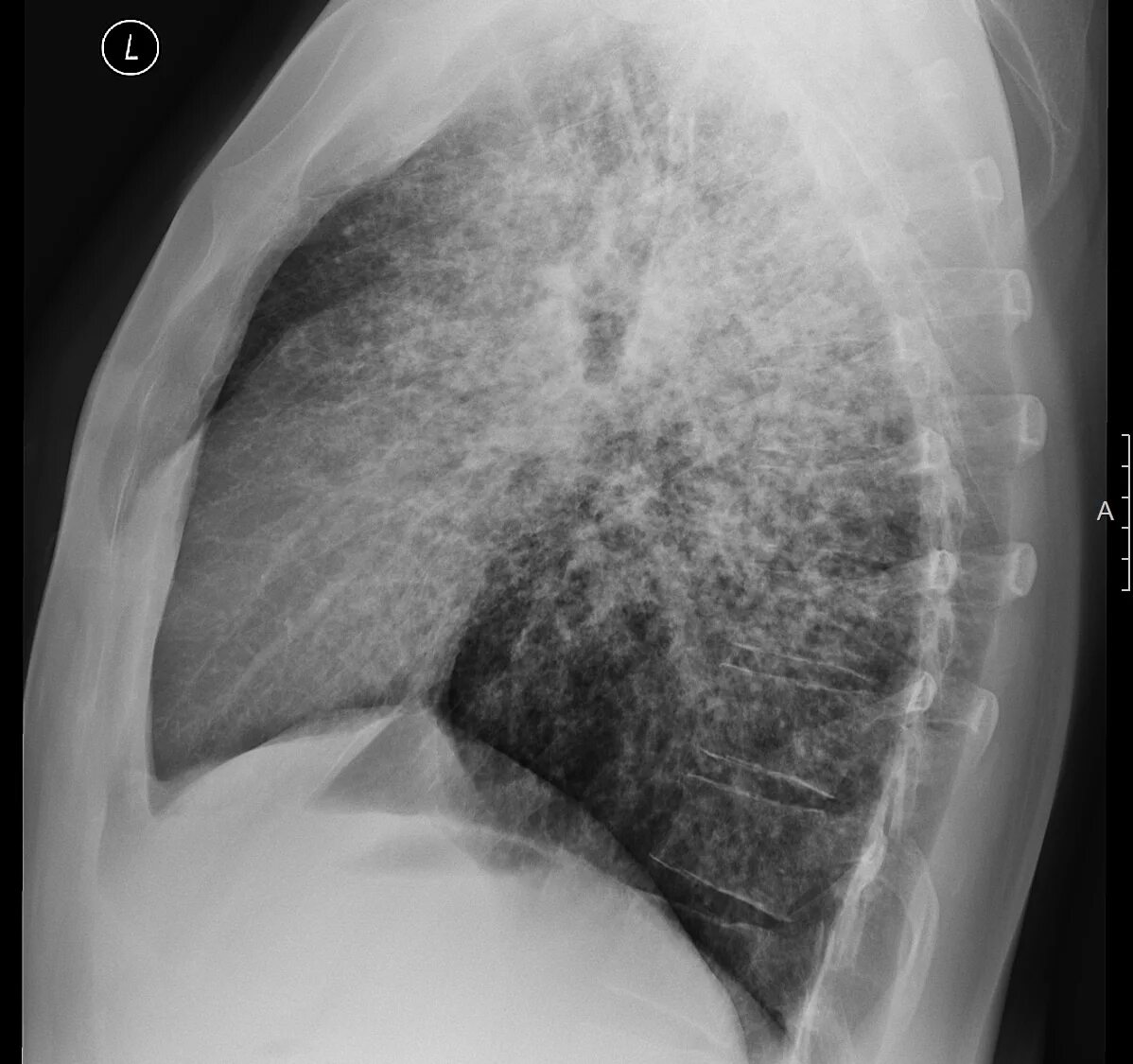
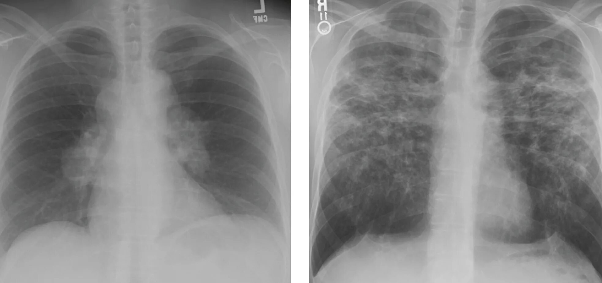
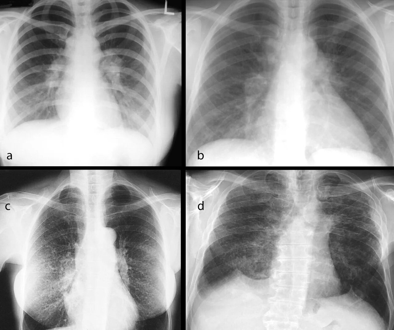
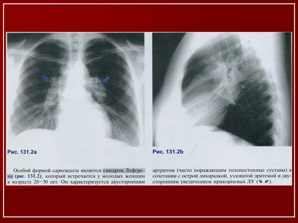
Саркоидоз 1