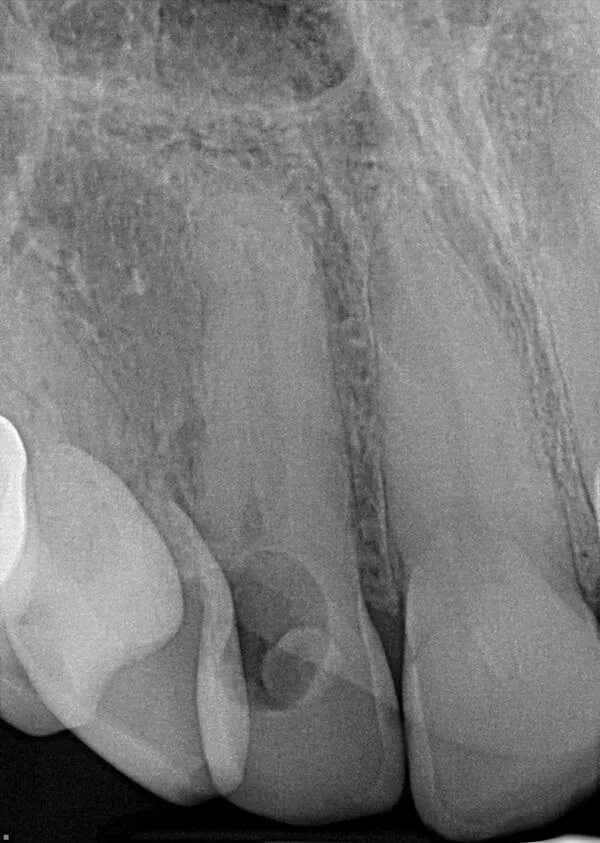
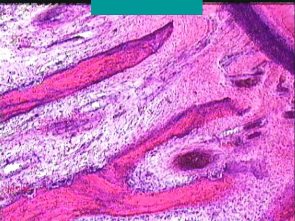
Резорбция ткани