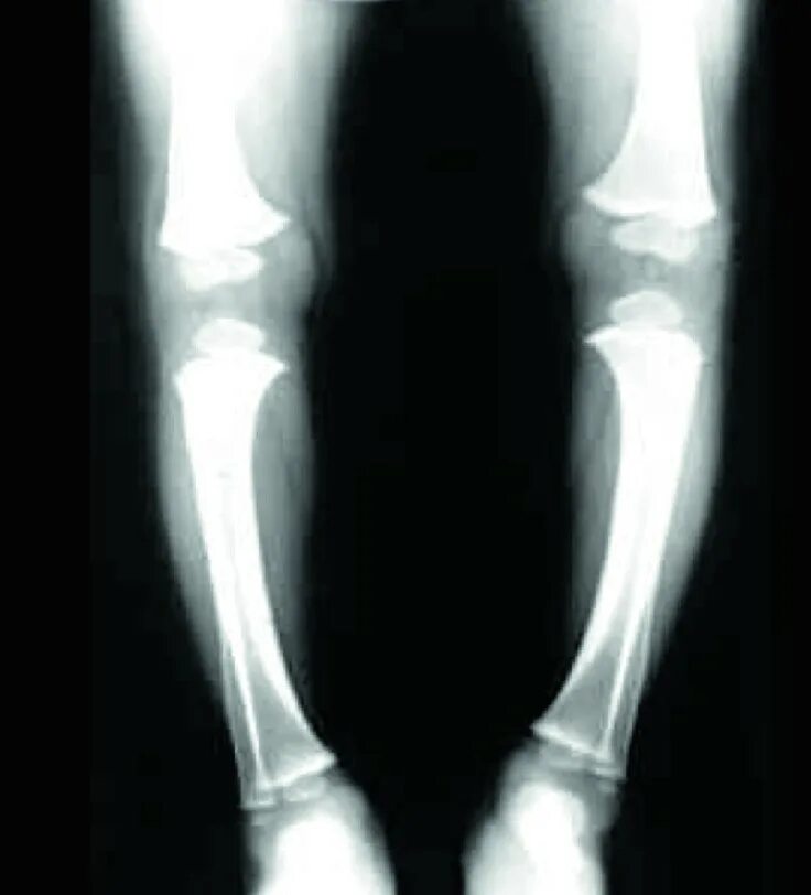
Рахит 6 лет