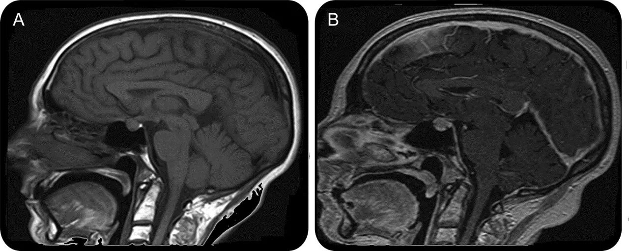
Пролабирование мозжечка