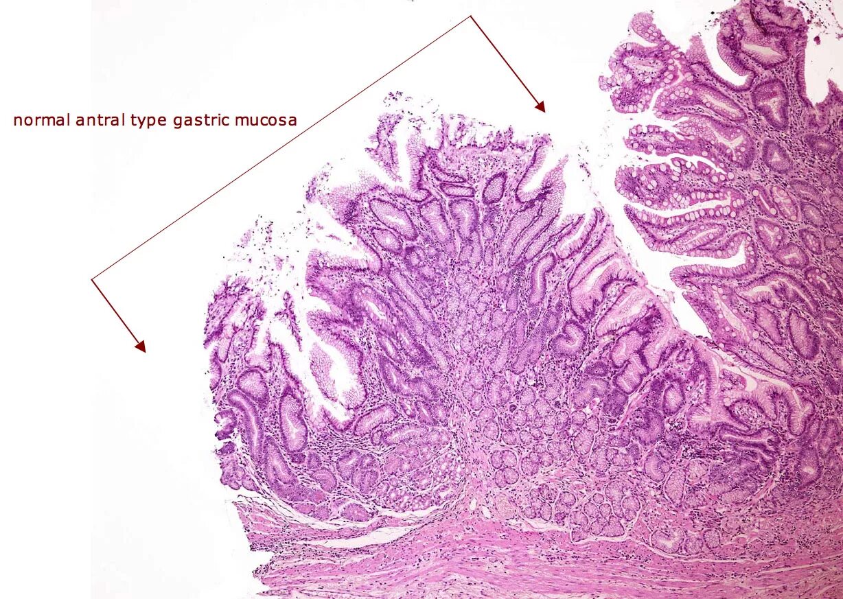
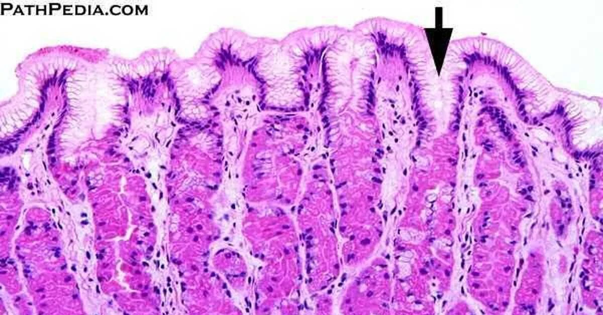
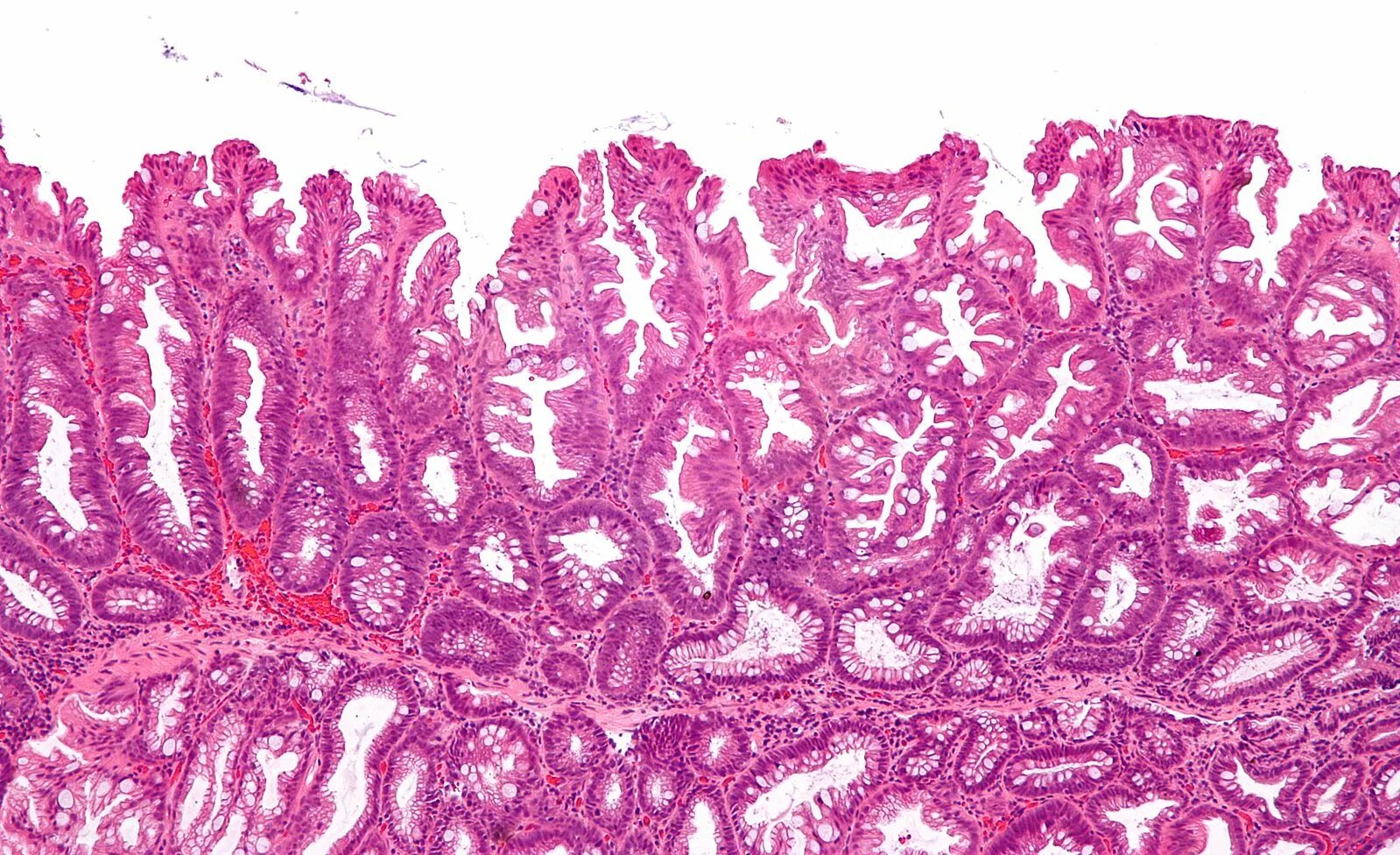
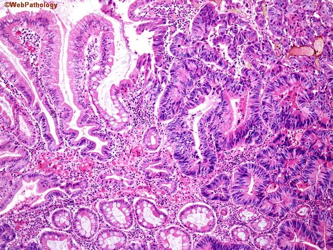
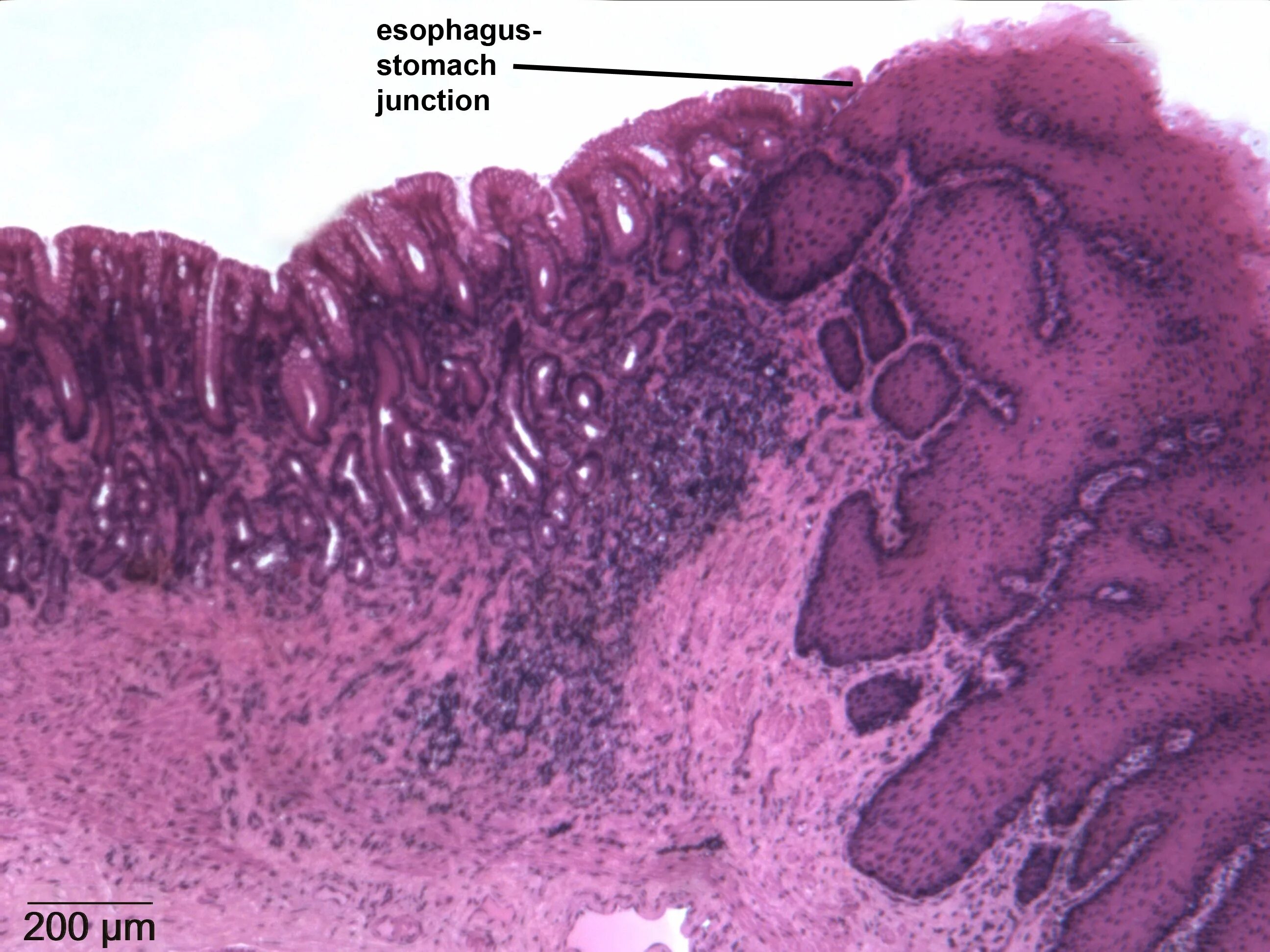
Полип желудка гистология