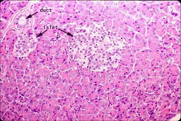
Поджелудочная строение гистология