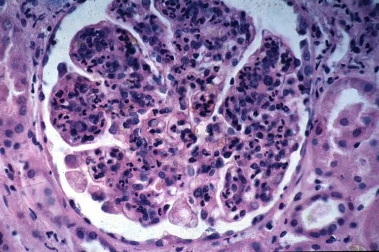
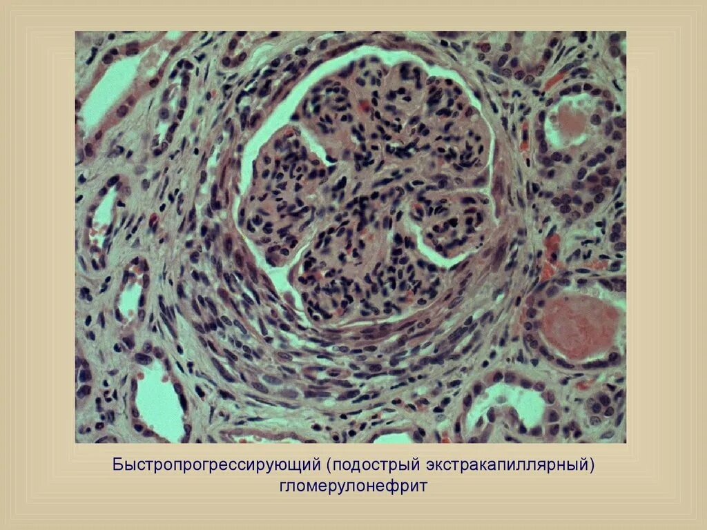
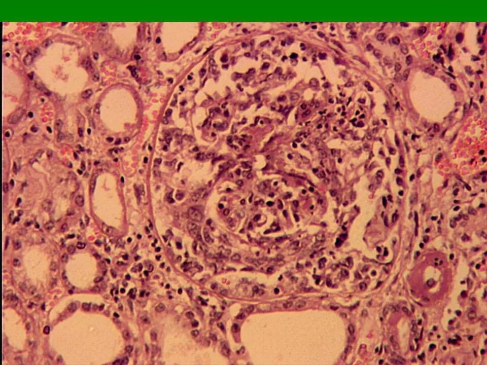
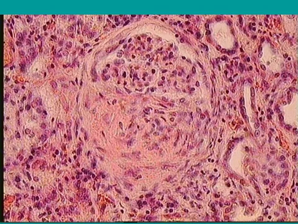
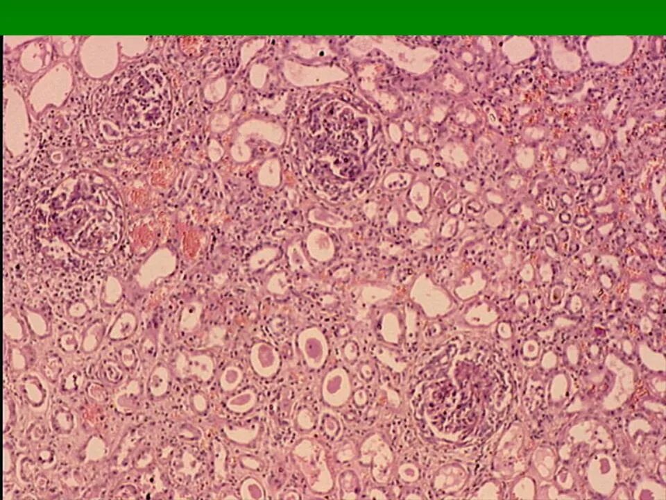
Подострый гломерулонефрит