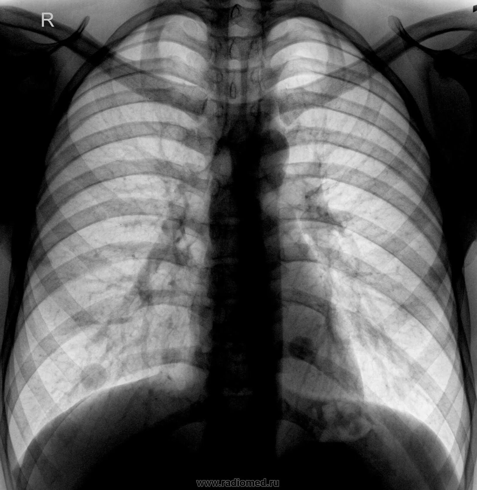
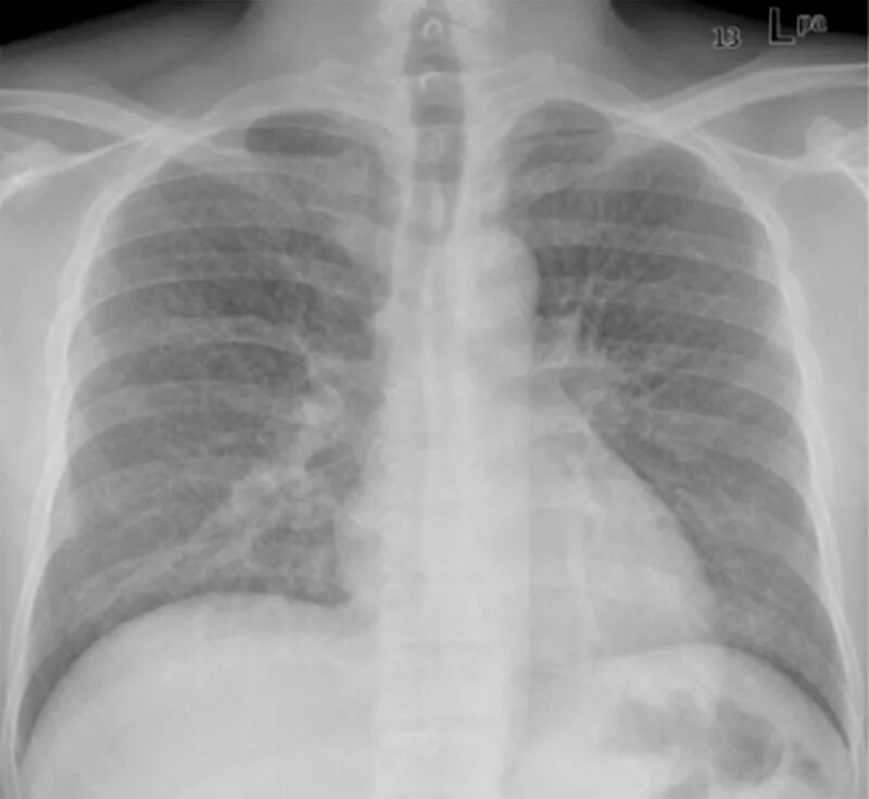
Почему метастазы в легких