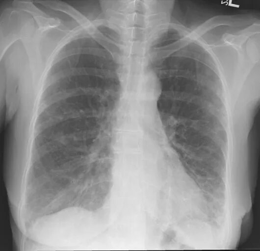
Пневмосклероз фиброз легких