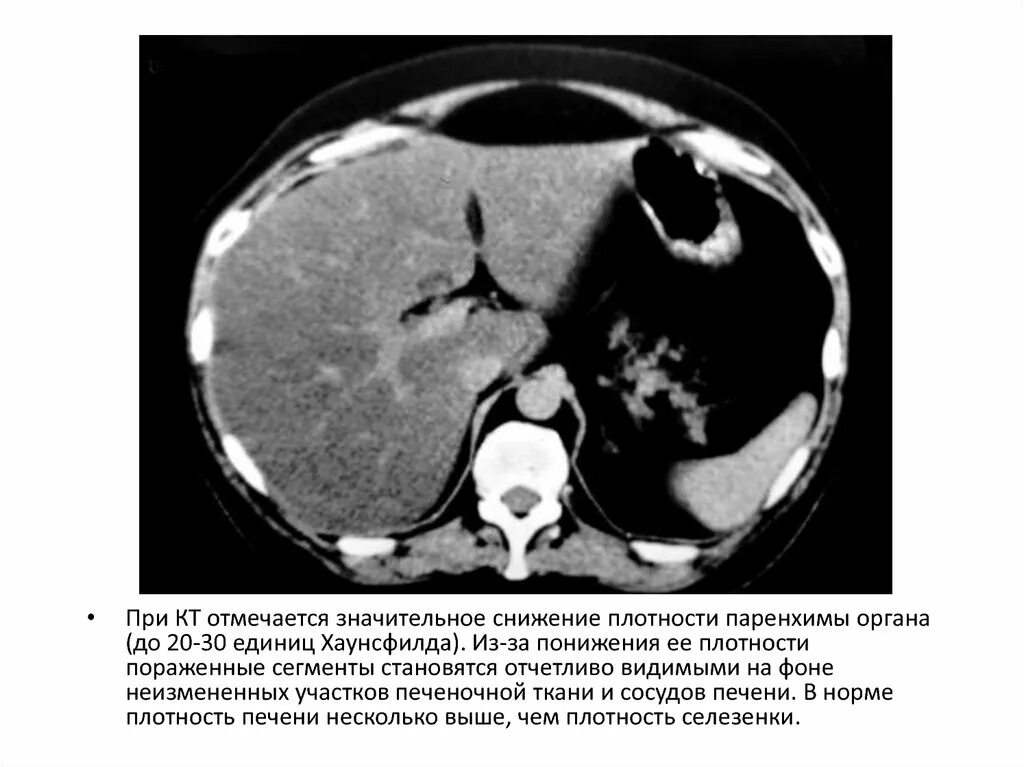
Плотность паренхимы печени снижена что