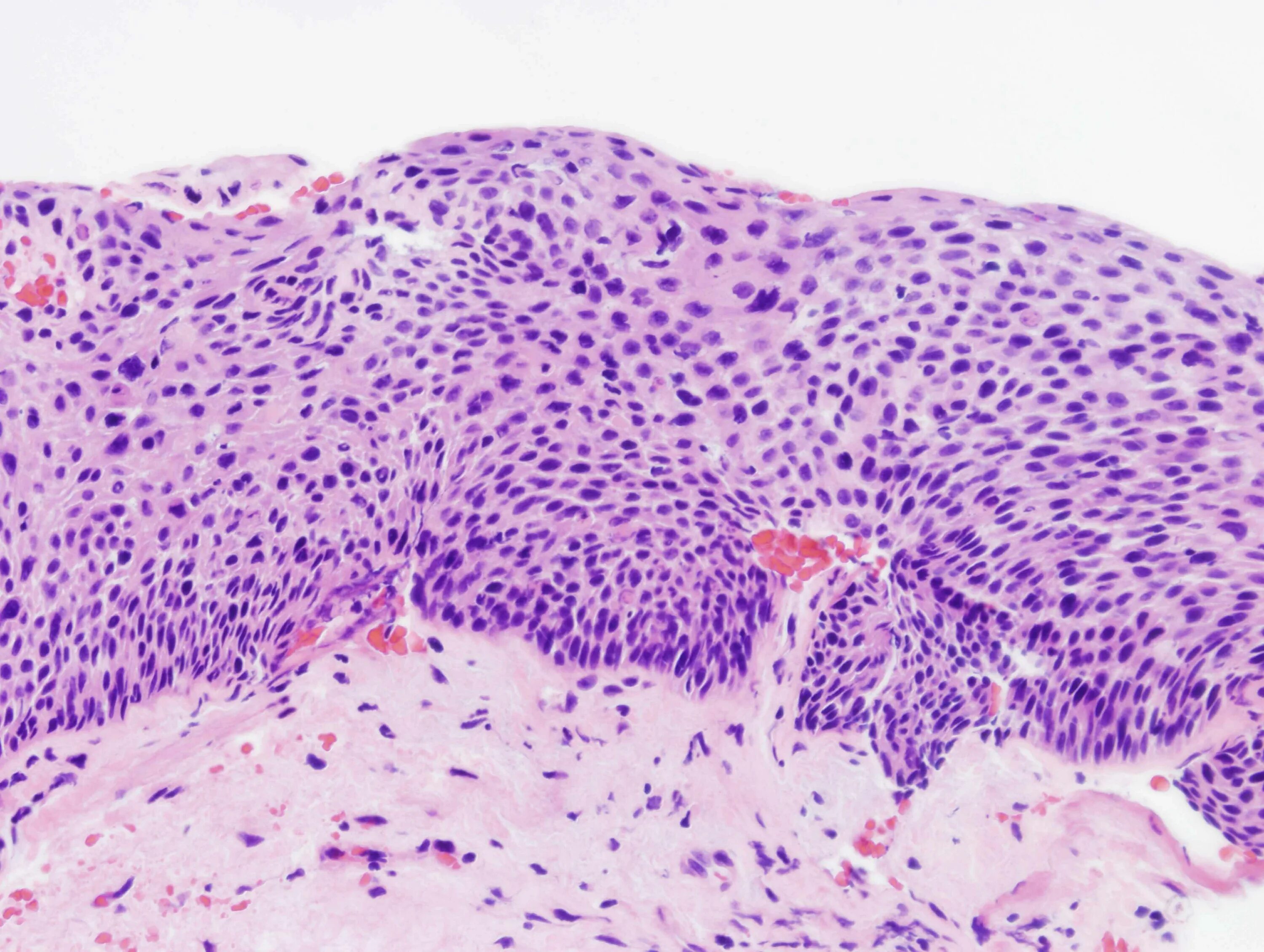
Плохая гистология матки