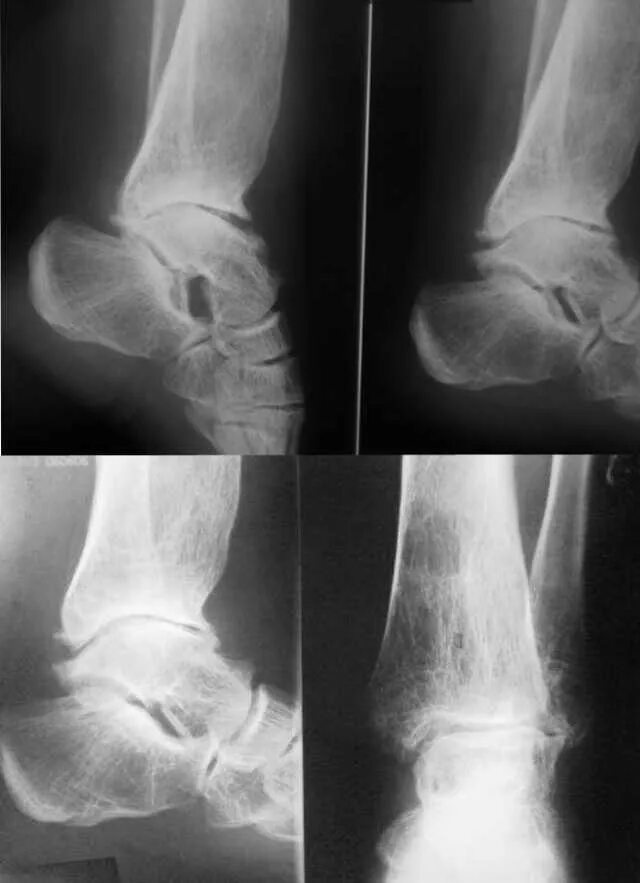
Перелом вывих голеностопного сустава