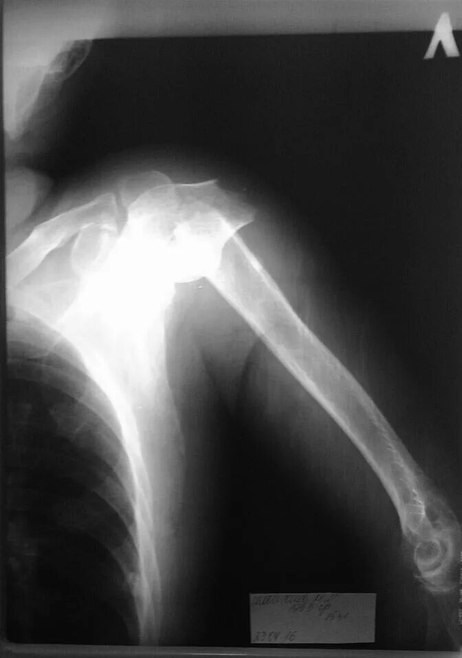
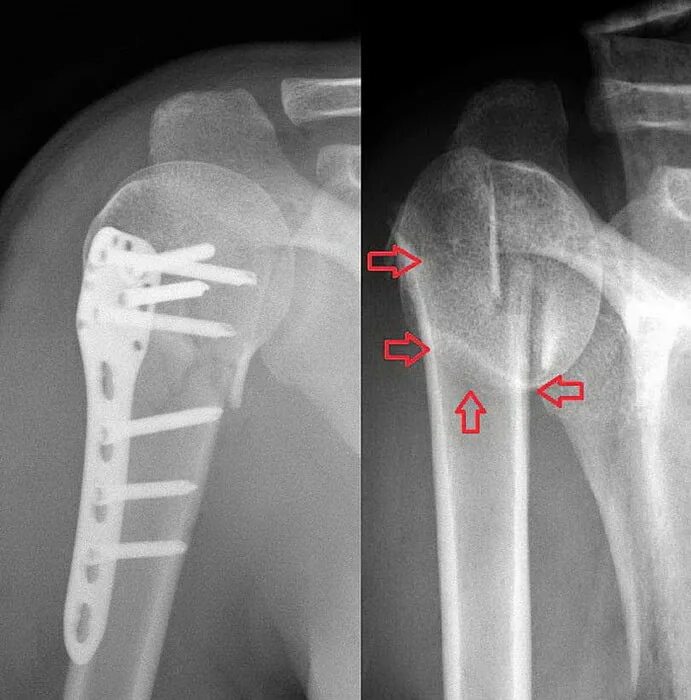
Перелом шейки плеча у пожилых