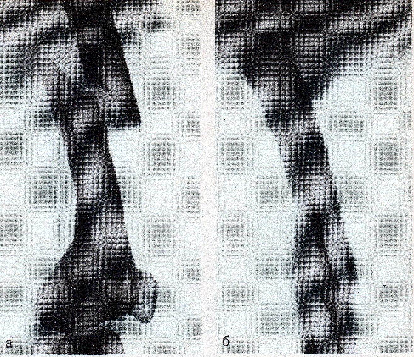
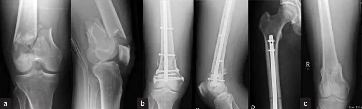
Перелом 1 3 бедра