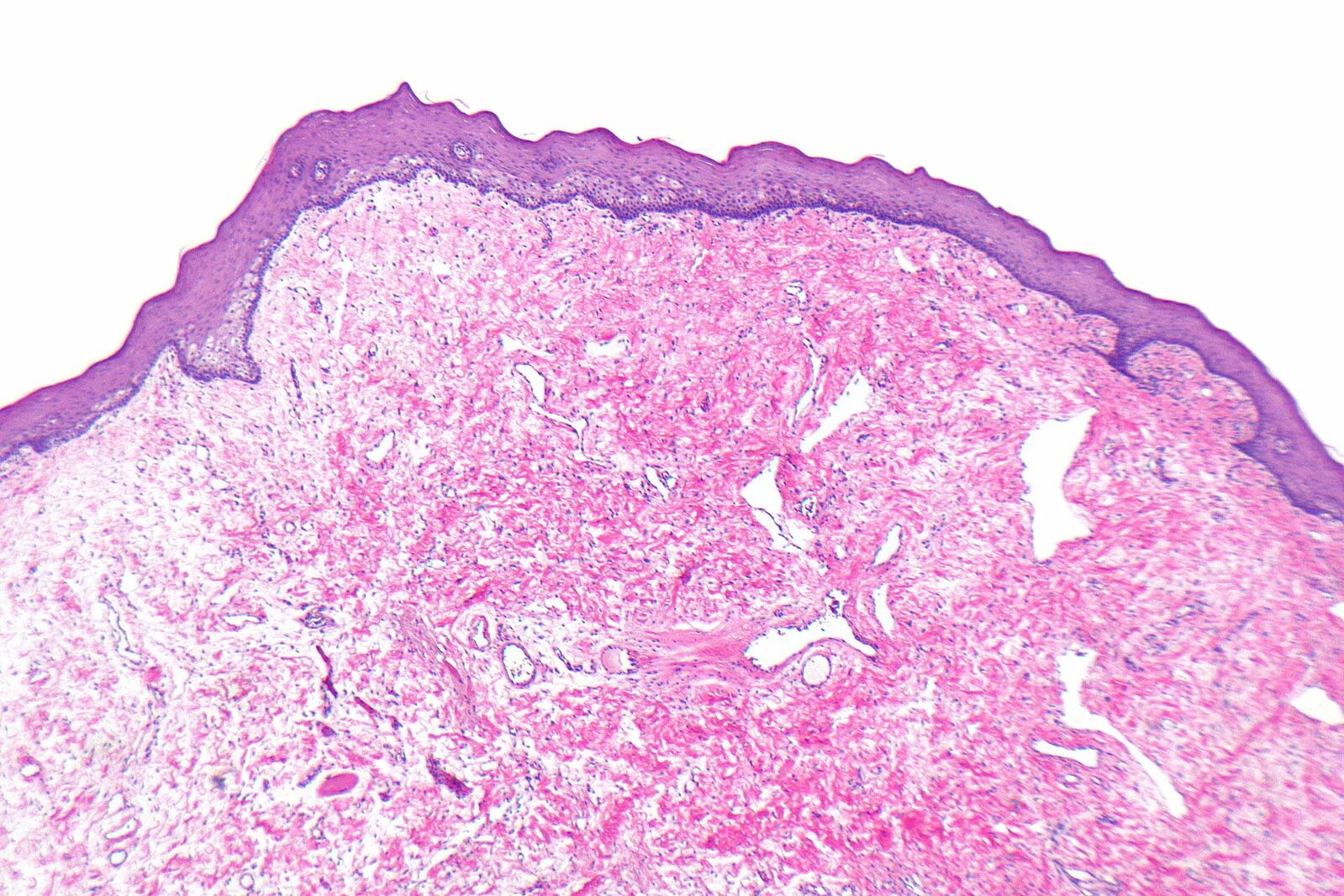
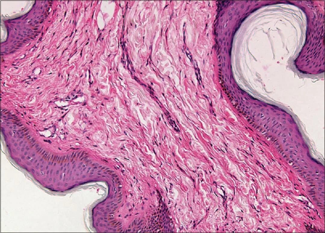
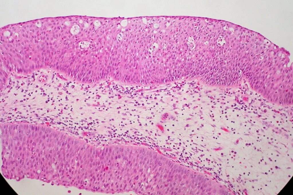
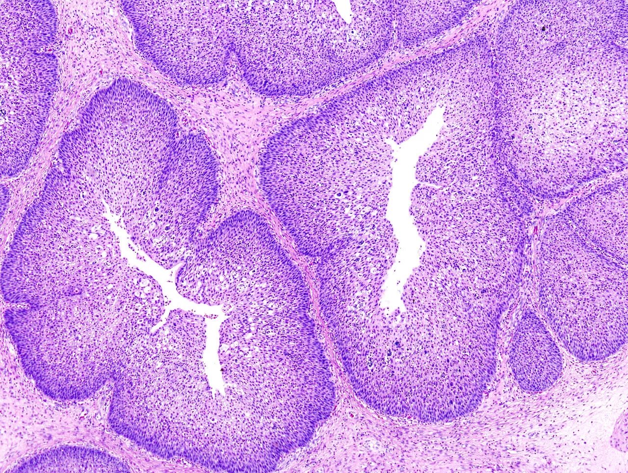
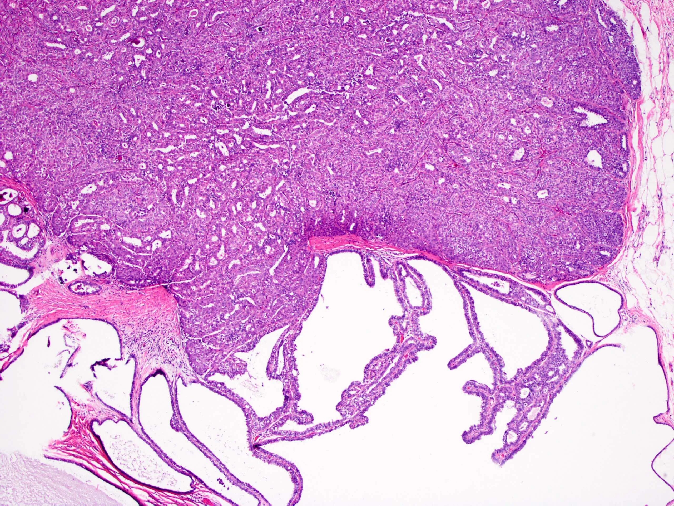
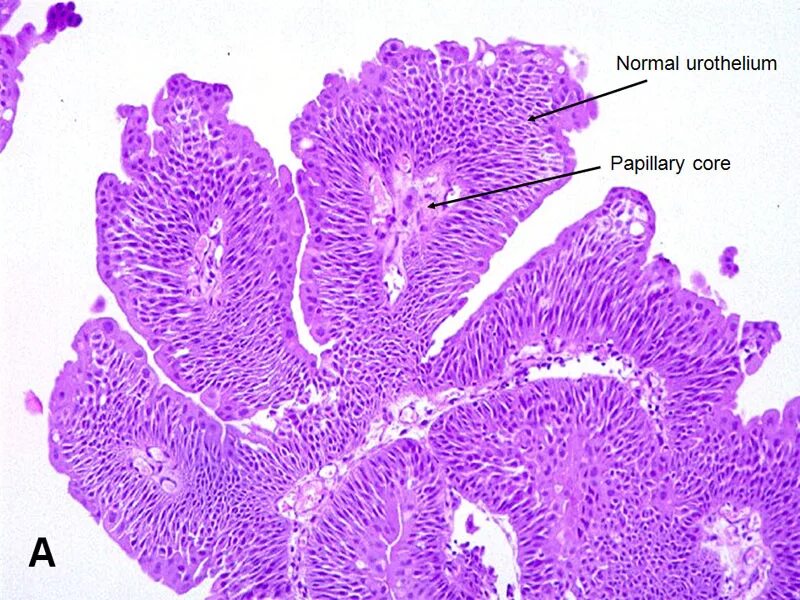
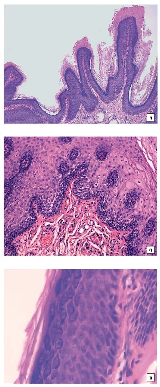
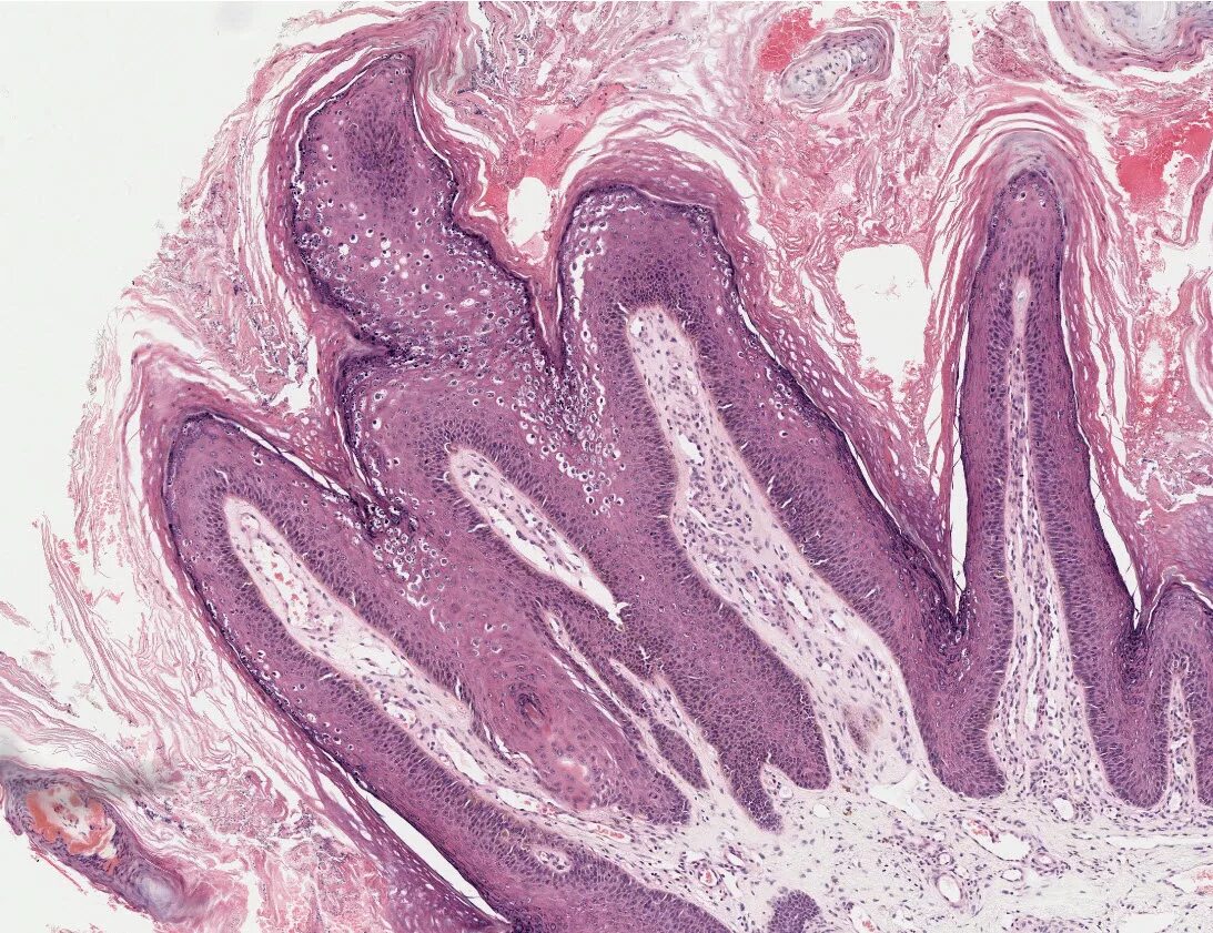
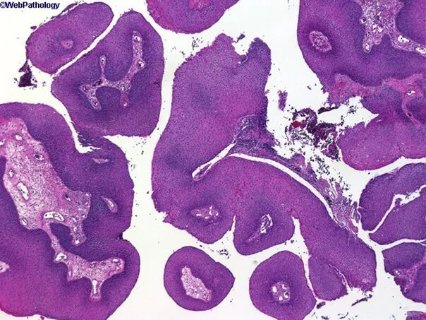
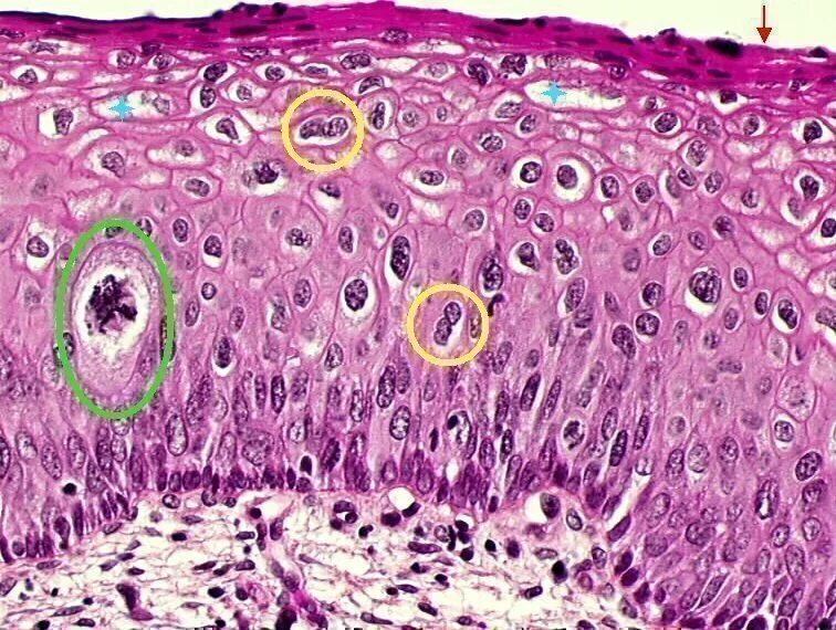
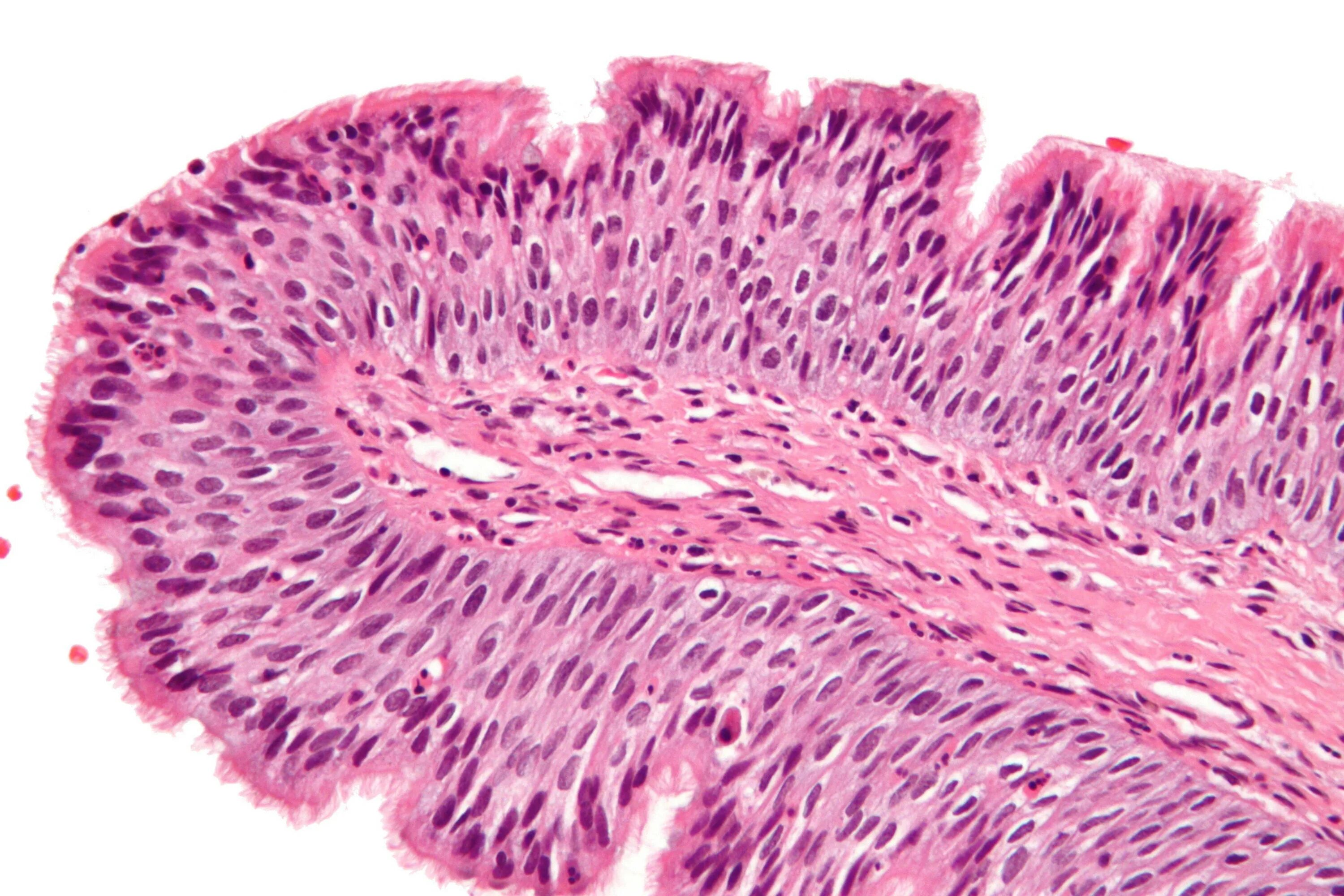
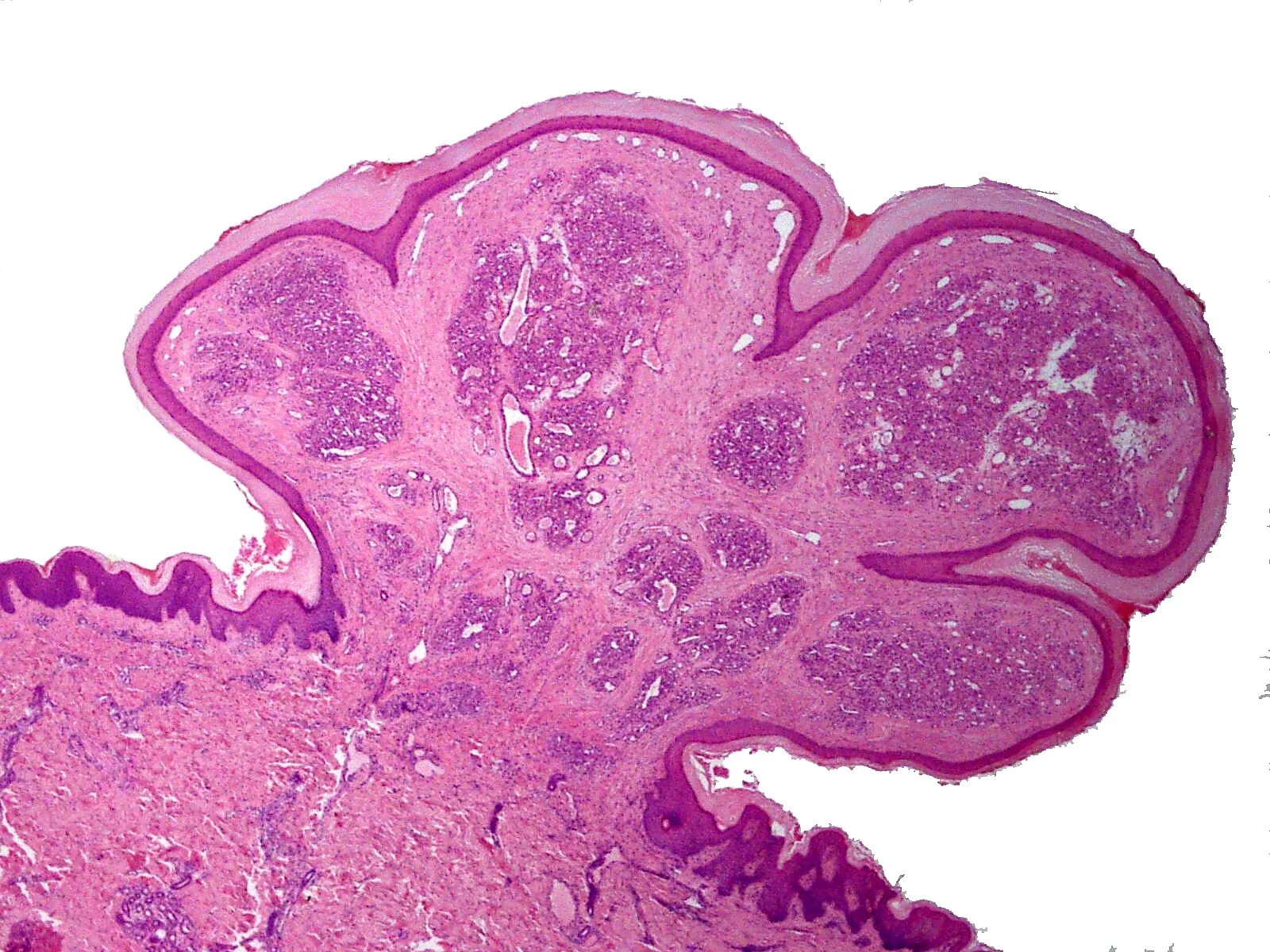
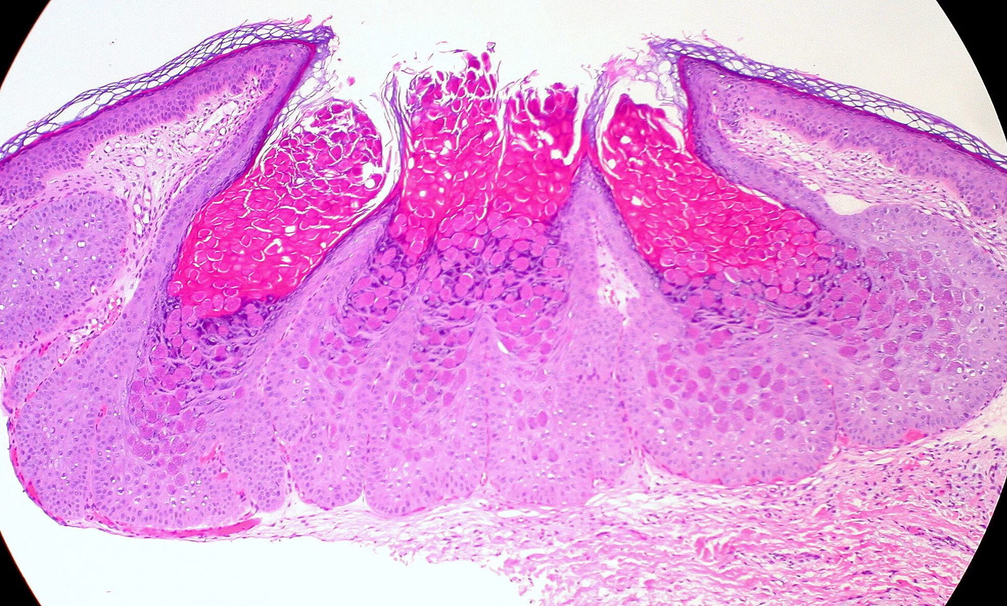
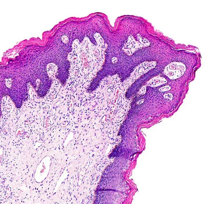
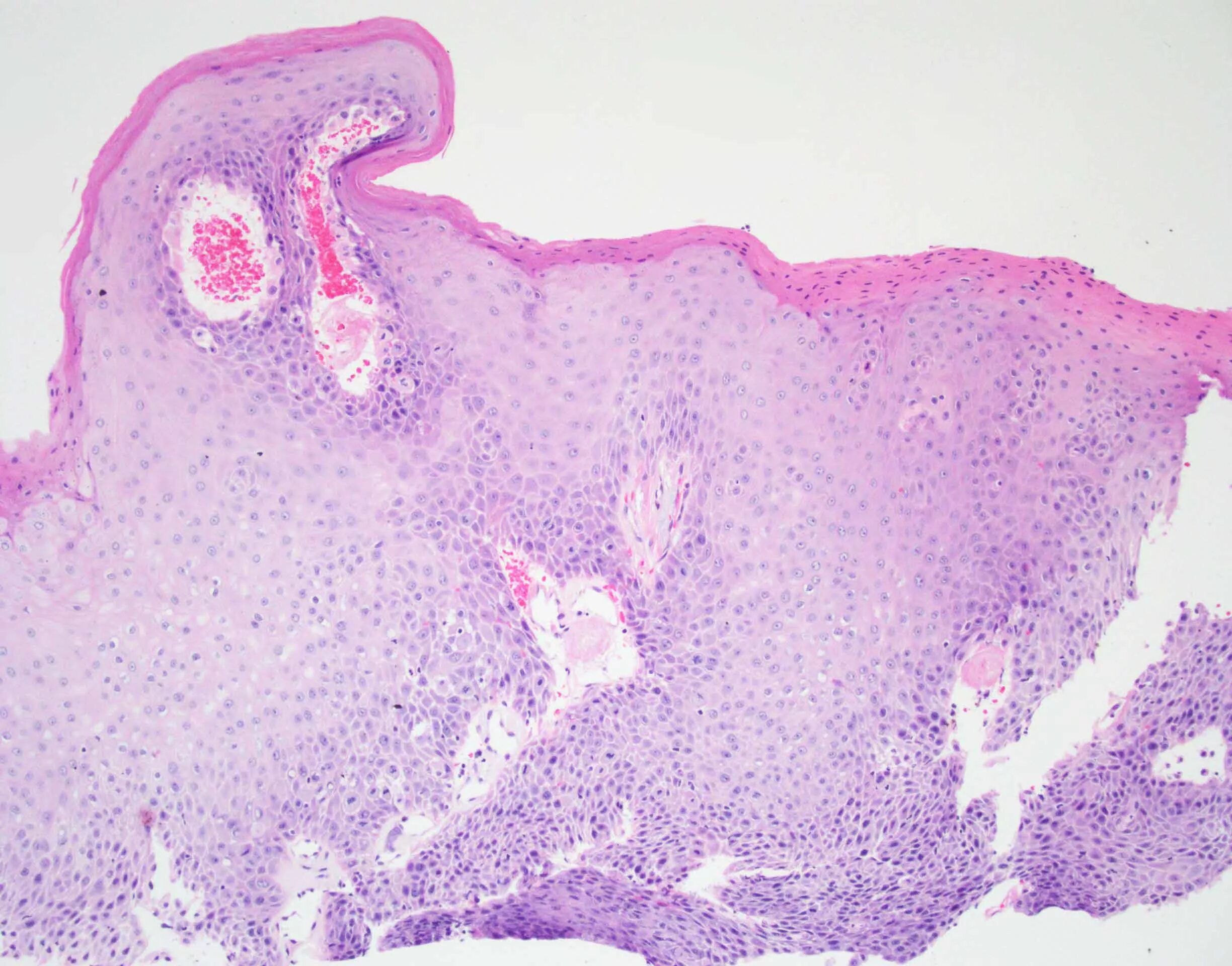
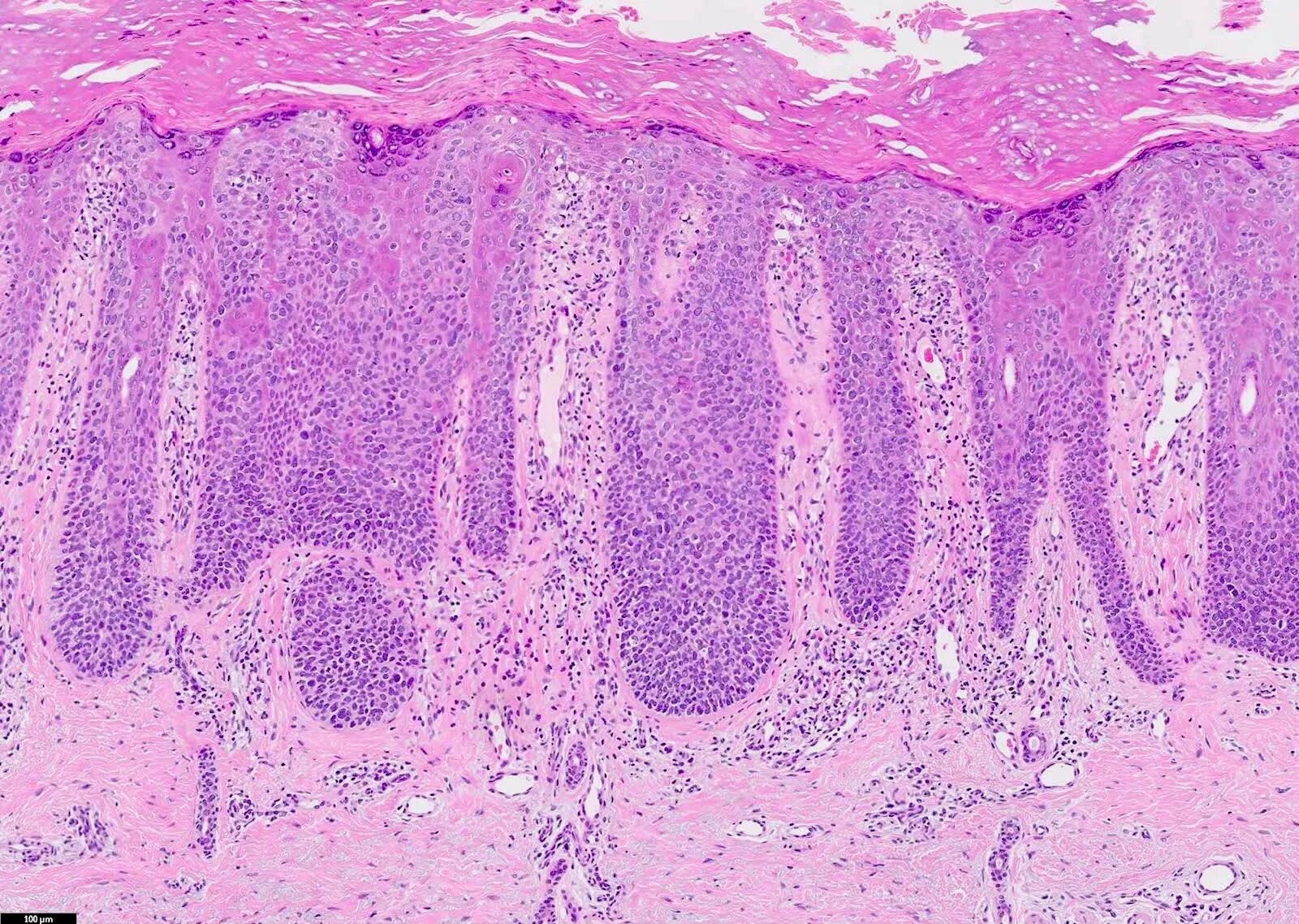
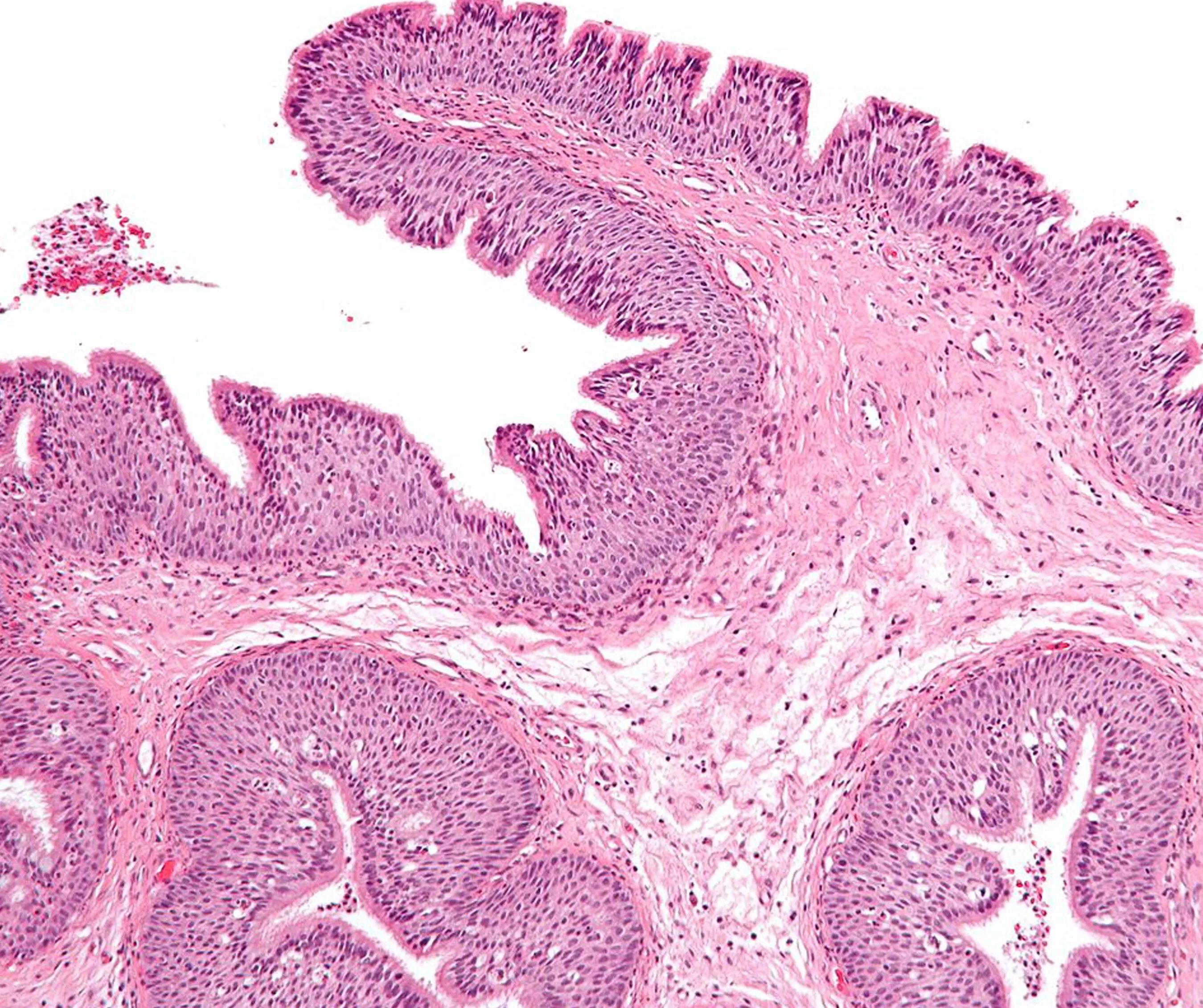
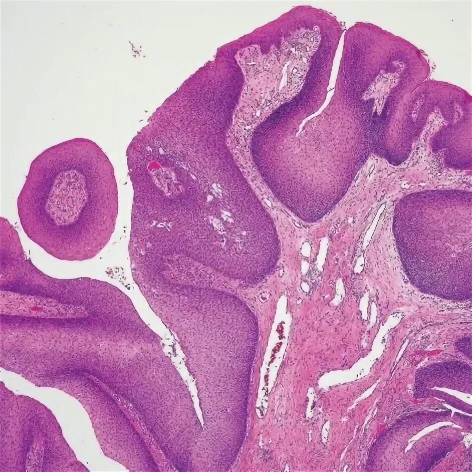
Папиллома гистология