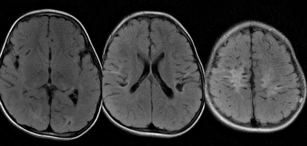
Очаги в мозге