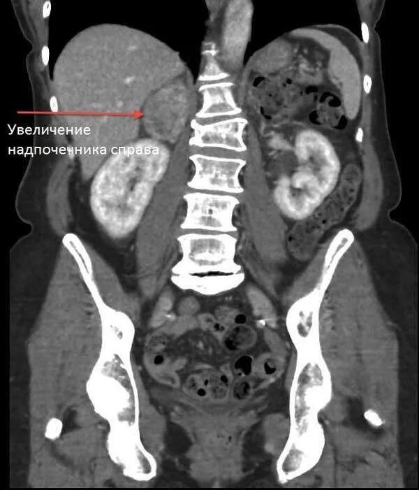
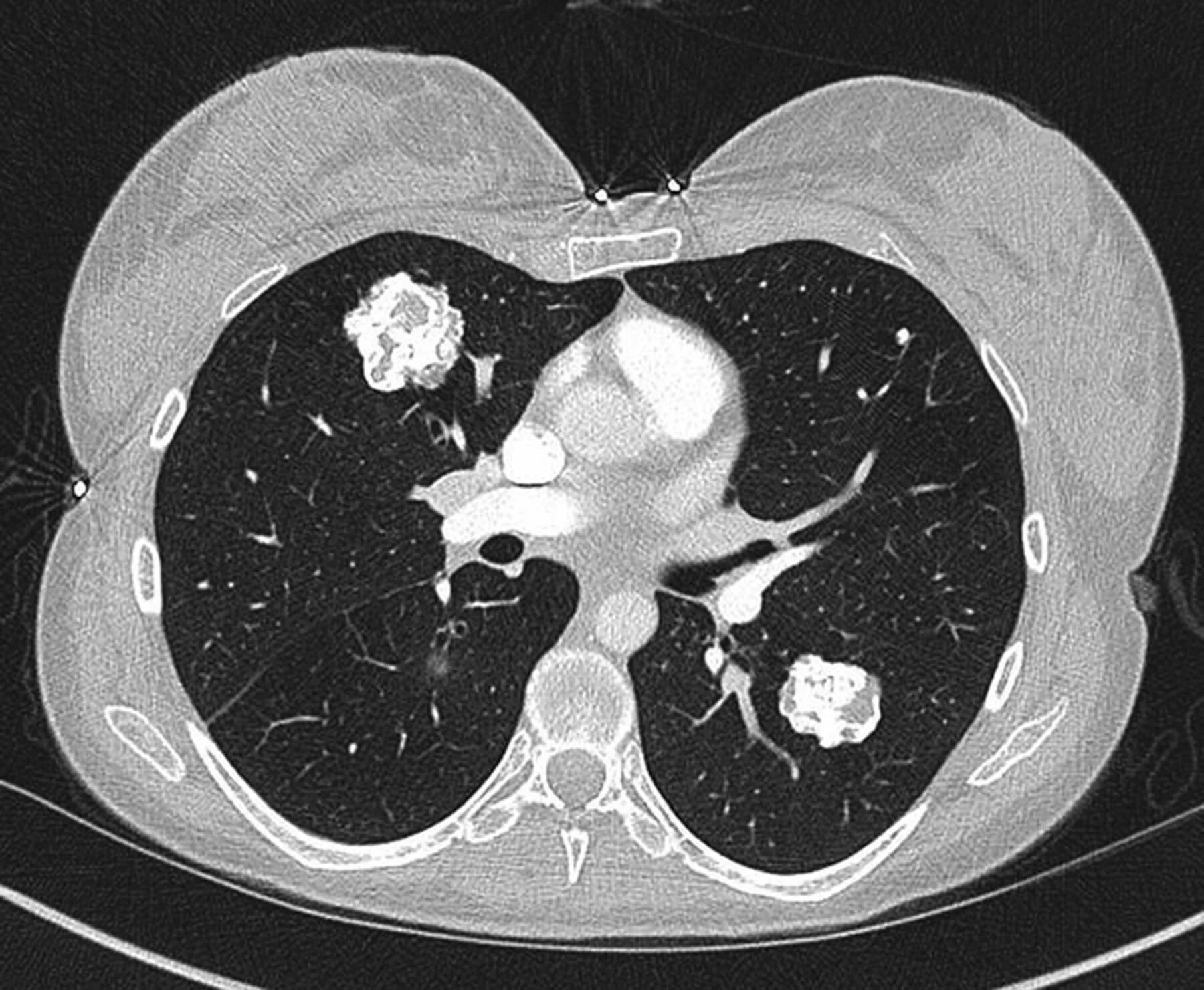
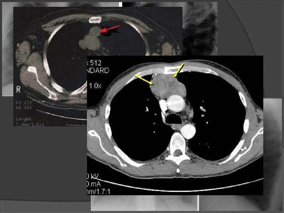
Образование кт