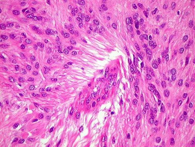
Нервная система гистология