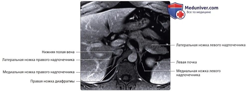
Надпочечник не визуализируется что это значит