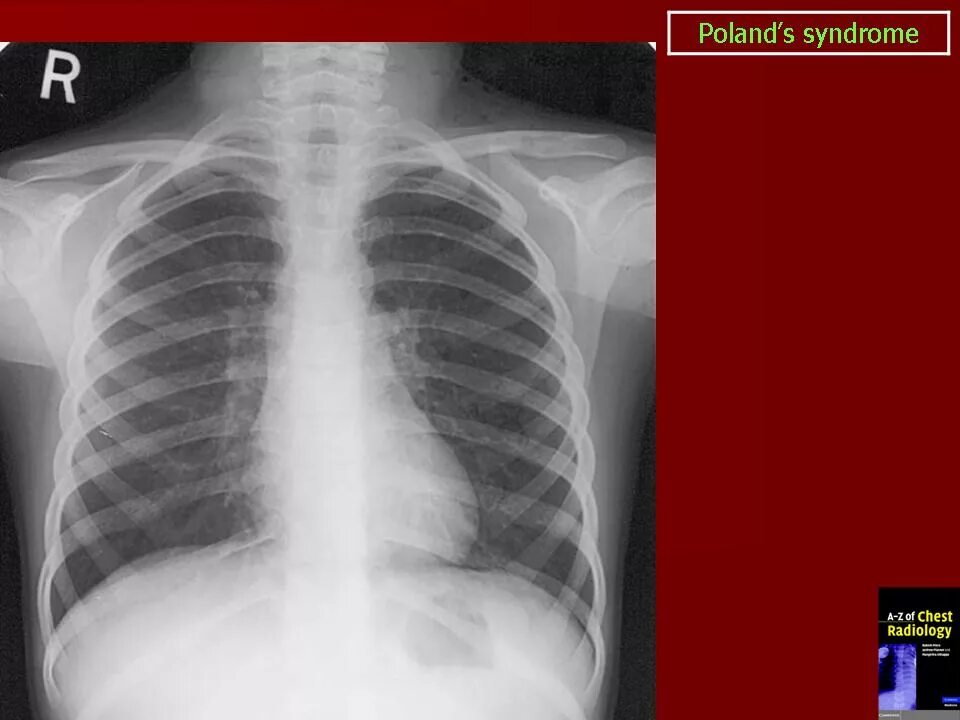
Мышечный дефект