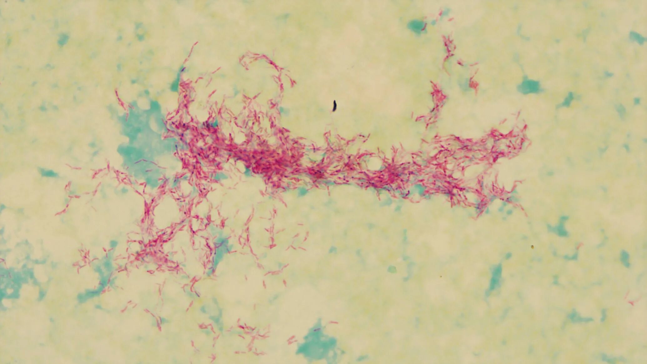
Mycobacterium tuberculosis complex