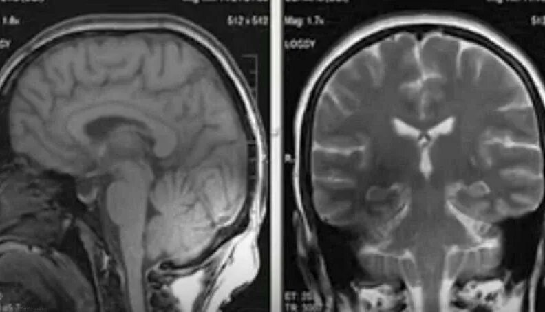
Можно ли с помощью мрт