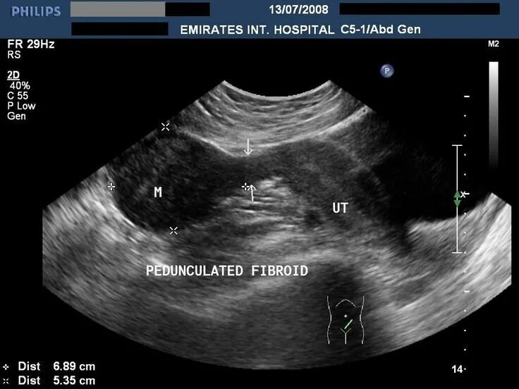
Можно ли беременность перепутать с миомой