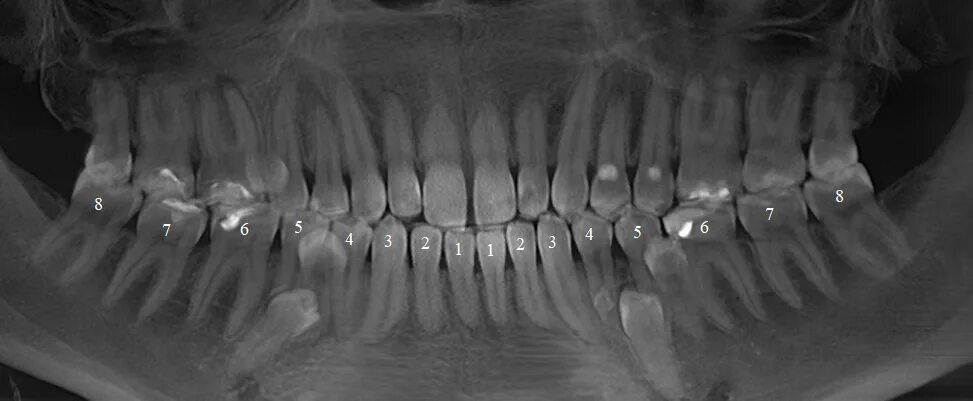
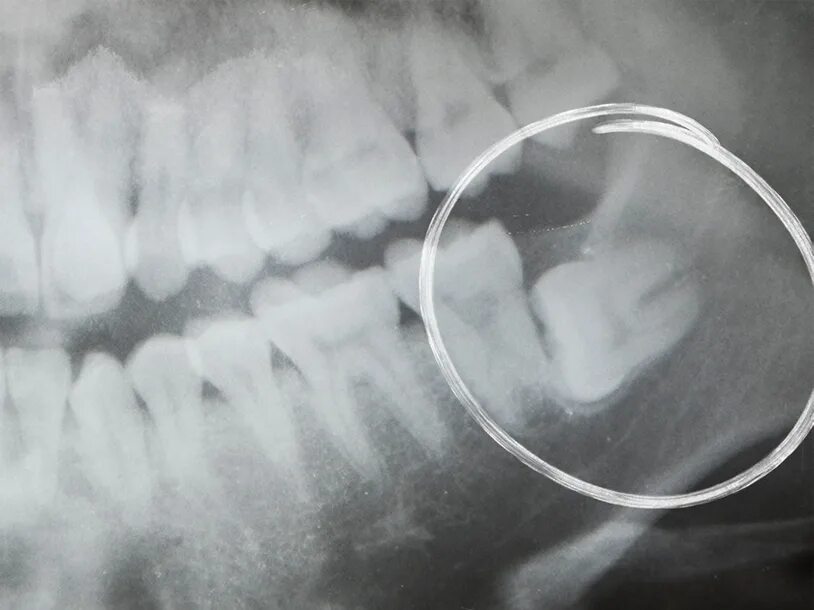
Могут ли быть 9 зубы