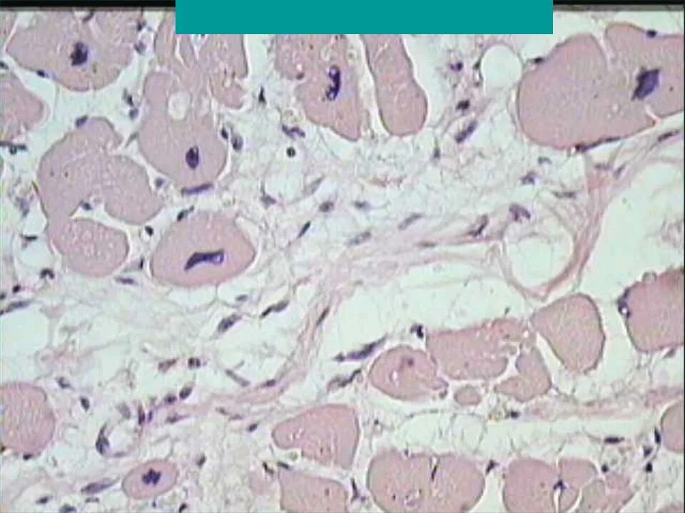
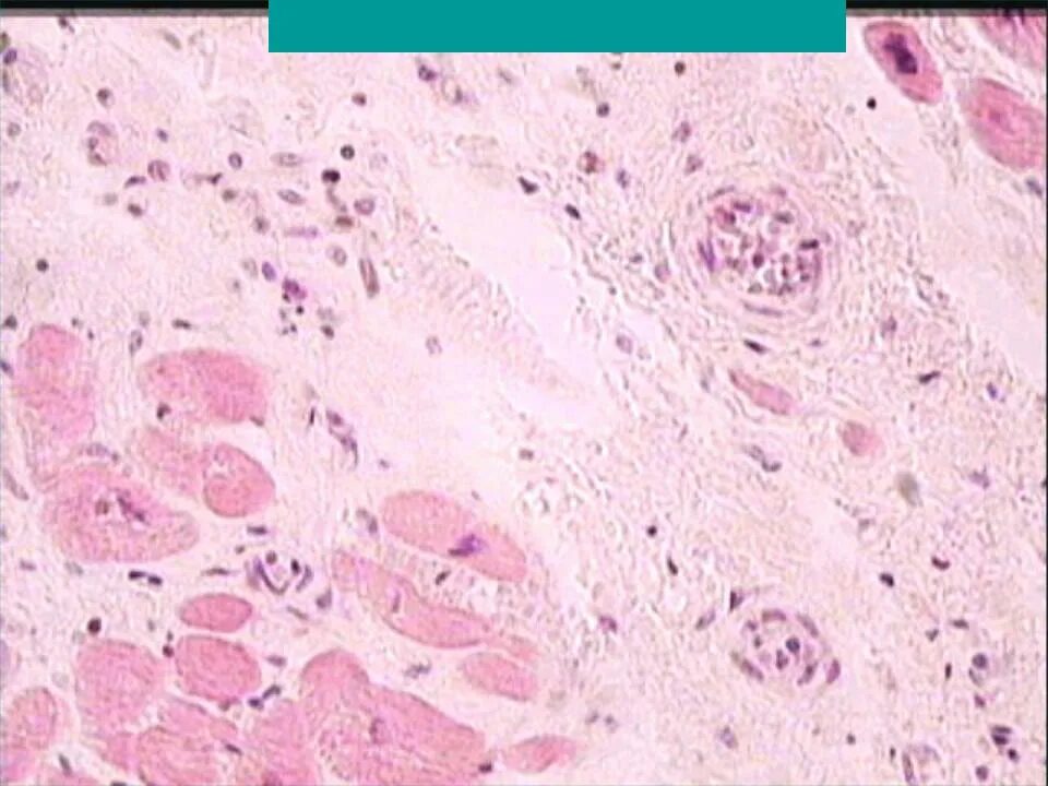
Миокардический кардиосклероз