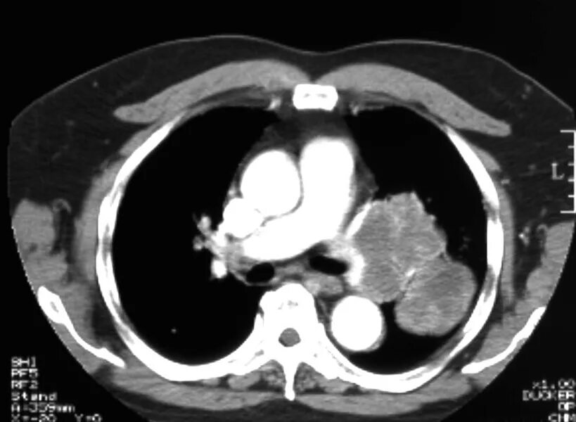
Метастазы в средостении легких